missing translation for 'onlineSavingsMsg'
Learn More

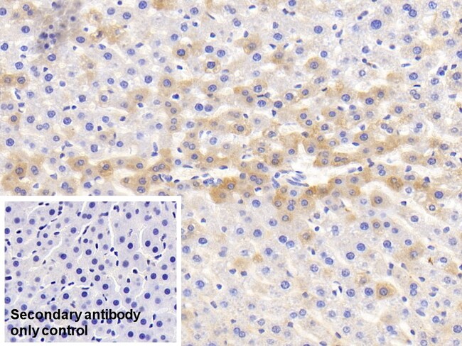
Invitrogen™ HRG Monoclonal Antibody (C4), Invitrogen™

Mouse Monoclonal Antibody

Brand:  Invitrogen™ MA551002

 View more versions of this product

Product Code. 17939032

  • € 185.00 / 20µL

Please to purchase this item. Need a web account? Register with us today!

This item is not returnable. View return policy

Description

Description

HRG contains two cystatin-like domains and is located in plasma and platelets. The physiological function has not been determined but it is known that the protein binds heme, dyes and divalent metal ions. It can inhibit rosette formation and interacts with heparin, thrombospondin and plasminogen. Two of the protein's effects, the inhibition of fibrinolysis and the reduction of inhibition of coagulation, indicate a potential prothrombotic effect. Mutations in this gene lead to thrombophilia due to abnormal histidine-rich glycoprotein levels.
TRUSTED_SUSTAINABILITY
Specifications

Specifications

HRG
Monoclonal
1 mg/mL
PBS with 50% glycerol and 0.05% Proclin 300; pH 7.4
Q99PS8
HRG
Recombinant Eukaryotic Rat HRG protein, Leu19-Lys525 (Accession #Q99PS8).
20 μL
Primary
Rat
Antibody
IgG2b κ
Immunohistochemistry (Paraffin), Western Blot
C4
Unconjugated
HRG
AI265597; AW413091; D16jh2; D18020; DKFZp779H1622; histidine rich glycoprotein; histidine-proline-rich glycoprotein; Histidine-rich glycoprotein; histidine-rich glycoprotein 1; HPRG; HRG; HRG1; Hrgp; THPH11
Mouse
Protein A/G
RUO
171016
Store at 4°C short term. For long term storage, store at -20°C, avoiding freeze/thaw cycles.
Liquid
Product Suggestions

Product Suggestions

Videos
SDS
Documents

Documents

Certificates
Promotions

Promotions

Product Content Correction

Your input is important to us. Please complete this form to provide feedback related to the content on this product.

Product Title

By clicking Submit, you acknowledge that you may be contacted by Fisher Scientific in regards to the feedback you have provided in this form. We will not share your information for any other purposes. All contact information provided shall also be maintained in accordance with our Privacy Policy.

Thank You! Your feedback has been submitted. Fisher Scientific is always working to improve our content for you. We appreciate your feedback.