missing translation for 'onlineSavingsMsg'
Learn More
Learn More
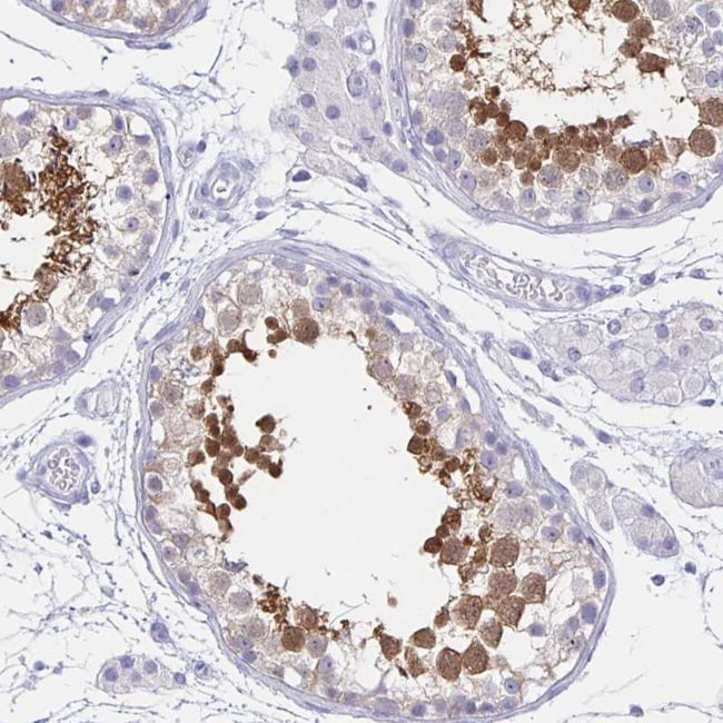
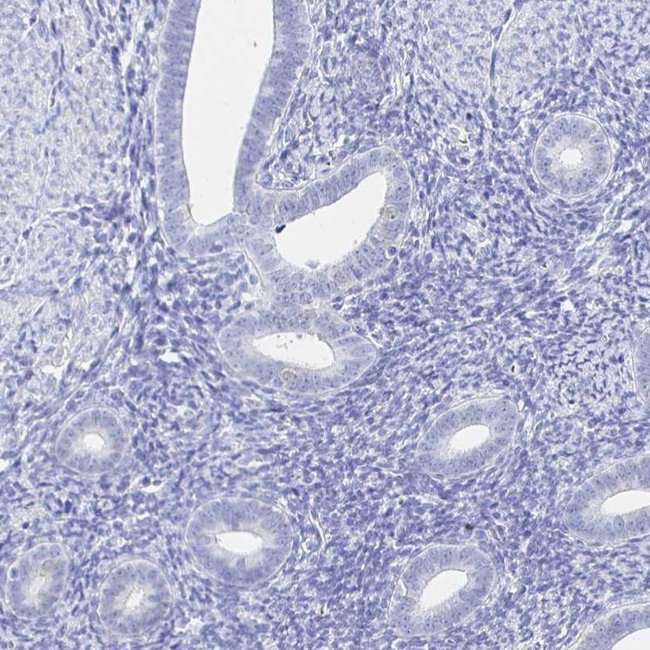
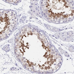
Description
Immunogen sequence: TNVRNTIHGF KKLHGRSFDD PIVQTERIRL PYELQKMPNG SAGVKVRYLE EERPFAIEQV TGMLLAKLKE TSENAL Highest antigen sequence identity to the following orthologs: Mouse - 99%, Rat - 100%.
HSPA4L possesses chaperone activity in vitro where it inhibits aggregation of citrate synthase.
Specifications
Specifications
| Antigen | HSPA4L |
| Applications | Immunohistochemistry (Paraffin) |
| Classification | Polyclonal |
| Concentration | 0.05 mg/mL |
| Conjugate | Unconjugated |
| Formulation | PBS with 40% glycerol and 0.02% sodium azide; pH 7.2 |
| Gene | HSPA4L |
| Gene Accession No. | O95757 |
| Gene Alias | 94kDa; AI461691; APG1; APG-1; heat shock 70 kDa protein 4L; heat shock 70 kDa protein 4-like protein; heat shock 70 kDa protein 4L-like; Heat shock 70 kDa protein 4L-like protein; heat shock 70kDa protein 4 like; heat shock 70kDa protein 4-like; heat shock 70-related protein APG-1; Heat shock protein; heat shock protein (hsp110 family); heat shock protein 4 like; heat shock protein 4-like; heat shock protein family A (Hsp70) member 4 like; HSP; Hsp4l; HSPA4L; HSPH3; LOW QUALITY PROTEIN: heat shock 70 kDa protein 4L; osmotic stress protein 94; OSP94; testis tissue sperm-binding protein Li 64n |
| Gene Symbols | HSPA4L |
| Show More |
Product Title
By clicking Submit, you acknowledge that you may be contacted by Fisher Scientific in regards to the feedback you have provided in this form. We will not share your information for any other purposes. All contact information provided shall also be maintained in accordance with our Privacy Policy.
Spot an opportunity for improvement?
