missing translation for 'onlineSavingsMsg'
Learn More
Learn More
Human Glutathione S-Transferase pi 1/GSTP1 Antibody, R&D Systems™

Sheep Polyclonal Antibody
Brand: R&D Systems AF6455-SP
This item is not returnable.
View return policy
Description
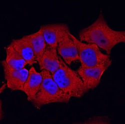
Glutathione S-Transferase pi 1/GSTP1 Polyclonal specifically detects Glutathione S-Transferase pi 1/GSTP1 in Human samples. It is validated for Immunocytochemistry.
Specifications
| Glutathione S-Transferase pi 1/GSTP1 | |
| Polyclonal | |
| Unconjugated | |
| Lyophilized from a 0.2 μm filtered solution in PBS with Trehalose. *Small pack size (SP) is supplied as a 0.2 μm filtered solution in PBS. with No Preservative | |
| deafness, X-linked 7, DFN7, EC 2.5.1.18, FAEES3, fatty acid ethyl ester synthase III, glutathione S-transferase P, glutathione S-transferase pi 1, Glutathione STransferase pi 1, GST class-pi, GST3DFN7, GSTP, GSTP1, GSTP1-1, PI | |
| Sheep | |
| Affinity Purified | |
| RUO | |
| 2950 | |
| Sterile PBS to a final concentration of 0.2 mg/mL. | |
| Use a manual defrost freezer and avoid repeated freeze-thaw cycles. 12 months from date of receipt, -20 to -70 degreesC as supplied. 1 month, 2 to 8 degreesC under sterile conditions after reconstitution. 6 months, -20 to -70 degreesC under sterile conditions after reconstitution. |
| Immunocytochemistry | |
| LYOPH | |
| Immunocytochemistry 5-15 ug/mL | |
| AAC51280 | |
| GSTP1 | |
| E. coli-derived recombinant human Glutathione S-Transferase pi 1/GSTP1 Met1-Glu210 Accession # AAC51280 | |
| 25 μg | |
| Primary | |
| Detects human Glutathione S-Transferase pi 1/GSTP1 in direct ELISAs. | |
| Human | |
| IgG |
Product Title
By clicking Submit, you acknowledge that you may be contacted by Fisher Scientific in regards to the feedback you have provided in this form. We will not share your information for any other purposes. All contact information provided shall also be maintained in accordance with our Privacy Policy.
Spot an opportunity for improvement?
For Research Use Only