missing translation for 'onlineSavingsMsg'
Learn More

IDO1 Mouse anti-Human, Clone: UMAB126, liquid, UltraMAB™

Mouse Monoclonal Antibody

Brand:  Origene Technologies UM570091

Encompass_Preferred

Product Code. 17579724

  • € 271.04 / 30µL

Please to purchase this item. Need a web account? Register with us today!

This item is not returnable. View return policy

Description

Description

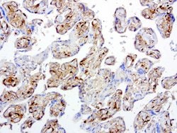
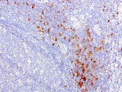
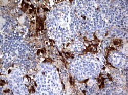
IDO1 is an intracellular heme-containing enzyme that catalyzes the oxidative cleavage of the indole ring of several important regulatory molecules like tryptophan, serotonin, and melatonin. By doing this, IDO1 initiates the production of biologically active metabolites, commonly referred to as kynurenines. IDO1 is widely expressed in a variety of human tissues as well as in macrophages and dendritic cells (DCs). In inflammation, interferons (IFNs) act on specific receptors to trigger IDO1 induction. The production of IFN-gamma and induction of IDO1 represent important antimicrobial mechanisms. Degradation and depletion of tryptophan by IDO1 inhibits the growth of viruses, bacteria and parasites. Furthermore, IDO1 plays a complex and crucial role in immunoregulation during infection, pregcy, autoimmunity, transplantation, and neoplasia.
Specifications

Specifications

IDO1
Monoclonal
0.5-1.0 mg/mL
PBS with 1% BSA, 50% glycerol and 0.02% sodium azide
P14902
IDO1
Full length human recombit protein of human IDO1 produced in HEK293T cell.
30 μL
Primary
Human
Antibody
IgG1
Immunohistochemistry (Paraffin)
UMAB126
Unconjugated
IDO1
IDO, IDO-1, INDO
Mouse
Affinity Chromatography
RUO
3620
-20° C, Avoid Freeze/Thaw Cycles
Liquid
Product Suggestions

Product Suggestions

Videos
SDS
Documents

Documents

Certificates
Promotions

Promotions

Product Content Correction

The Fisher Scientific Encompass Program offers items which are not part of our distribution portfolio. These products typically do not have pictures or detailed descriptions. However, we are committed to improving your shopping experience. Please use the form below to provide feedback related to the content on this product.

Product Title

By clicking Submit, you acknowledge that you may be contacted by Fisher Scientific in regards to the feedback you have provided in this form. We will not share your information for any other purposes. All contact information provided shall also be maintained in accordance with our Privacy Policy.

Thank You! Your feedback has been submitted. Fisher Scientific is always working to improve our content for you. We appreciate your feedback.