missing translation for 'onlineSavingsMsg'
Learn More
Learn More
Invitrogen™ CGRRF1 Polyclonal Antibody

Rabbit Polyclonal Antibody
Brand: Invitrogen™ PA5148217
This item is not returnable.
View return policy
Description
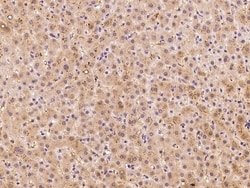
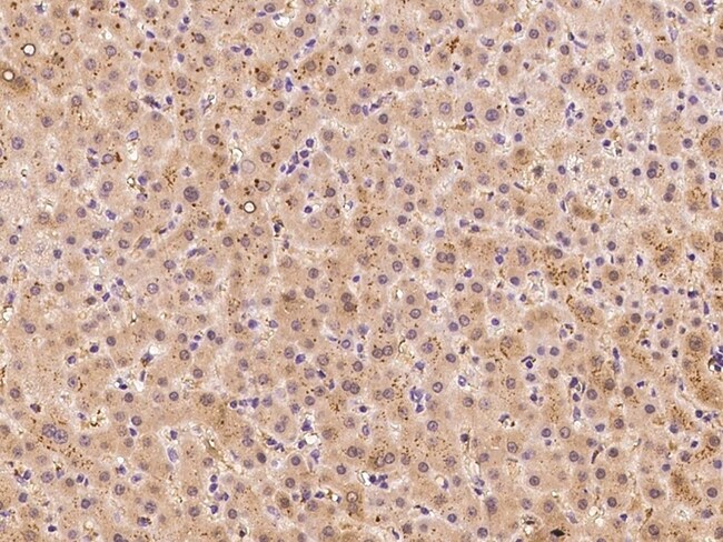
CGRRF1 Polyclonal Antibody for ICC/IF, IHC (P)
CGRRF1 is able to inhibit growth in several cell lines.
Specifications
| CGRRF1 | |
| Polyclonal | |
| Unconjugated | |
| CGRRF1 | |
| 1110038G02Rik; 1810009H17Rik; cell growth regulator with ring finger domain 1; cell growth regulator with RING finger domain protein 1; Cell growth regulatory gene 19 protein; cell growth regulatory with ring finger domain; CGR19; Cgrrf1; RING finger protein 197; RNF197 | |
| Rabbit | |
| Antigen Affinity Chromatography, Protein A | |
| RUO | |
| 10668 | |
| Store at 4°C short term. For long term storage, store at -20°C, avoiding freeze/thaw cycles. | |
| Liquid |
| Immunohistochemistry (Paraffin), Immunocytochemistry | |
| 100 μg/mL | |
| PBS with no preservative | |
| Q99675 | |
| CGRRF1 | |
| A synthetic peptide corresponding to the center region of the Human CGR19/CGRRF1. | |
| 100 μL | |
| Primary | |
| Human | |
| Antibody | |
| IgG |
Product Content Correction
Your input is important to us. Please complete this form to provide feedback related to the content on this product.
Product Title
Spot an opportunity for improvement?Share a Content Correction