missing translation for 'onlineSavingsMsg'
Learn More

Invitrogen™ IRF9 Monoclonal Antibody (K70047_18H9), Invitrogen™

Mouse Monoclonal Antibody

Brand:  Invitrogen™ MA555884

 View more versions of this product

Product Code. 30195171

  • € 524.00 / 50µg

Please to purchase this item. Need a web account? Register with us today!

This item is not returnable. View return policy

Description

Description

Sequence of this protein is as follows: REDQDAAFFK AWAIFKGKYK EGDTGGPAVW KTRLRCALNK SSEFKEVPER GRMDVAEPYK VYQLLPPGIV SGQPGTQKVP SKRQHSSVSS ERKEEEDAMQ NCTLSPSVLQ DSLNNEEEGA SGGAVHSDIG SSSSSSSPEP QEVTDTTEAP FQGDQRSLEF

Transcription factor that plays an essential role in anti-viral immunity. It mediates signaling by type I IFNs (IFN-alpha and IFN-beta). Following type I IFN binding to cell surface receptors, Jak kinases (TYK2 and JAK1) are activated, leading to tyrosine phosphorylation of STAT1 and STAT2. IRF9/ISGF3G associates with the phosphorylated STAT1:STAT2 dimer to form a complex termed ISGF3 transcription factor, that enters the nucleus. ISGF3 binds to the IFN stimulated response element (ISRE) to activate the transcription of interferon stimulated genes, which drive the cell in an antiviral state. [UniProt].
TRUSTED_SUSTAINABILITY
Specifications

Specifications

IRF9
Monoclonal
1 mg/mL
PBS with 50% glycerol, 0.5% BSA and 0.09% sodium azide
Q00978
IRF9
Recombinant human IRF9 (immunogen range is 51-210).
50 μL
Primary
Human
Antibody
IgG1
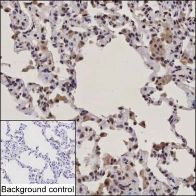
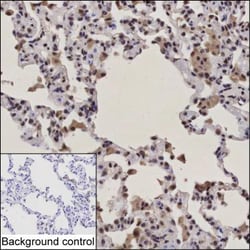
Immunohistochemistry (Paraffin), Immunoprecipitation, Western Blot
K70047_18H9
Unconjugated
IRF9
gamma 48kDa; IFN alpha responsive transcription factor subunit; IFN-alpha-responsive transcription factor subunit; interferon dependent positive acting transcription factor 3 gamma; interferon regulatory factor 9; Interferon-stimulated gene factor 3 gamma; interferon-stimulated transcription factor 3; interferon-stimulated transcription factor 3, gamma (48kD); interferon-stimulated transcription factor 3, gamma 48kDa; IRF9; Irf-9; ISGF3; ISGF-3 gamma; ISGF3 p48 subunit; ISGF3G; p48; transcriptional regulator ISGF3 subunit gamma; Unknown (protein for MGC:126912); Unknown (protein for MGC:92097); zgc:92097
Mouse
Protein A
RUO
10379
Store at 4°C short term. For long term storage, store at -20°C, avoiding freeze/thaw cycles.
Liquid
Product Suggestions

Product Suggestions

Videos
SDS
Documents

Documents

Certificates
Promotions

Promotions

Product Content Correction

Your input is important to us. Please complete this form to provide feedback related to the content on this product.

Product Title

By clicking Submit, you acknowledge that you may be contacted by Fisher Scientific in regards to the feedback you have provided in this form. We will not share your information for any other purposes. All contact information provided shall also be maintained in accordance with our Privacy Policy.

Thank You! Your feedback has been submitted. Fisher Scientific is always working to improve our content for you. We appreciate your feedback.