Learn More
Invitrogen™ ITK Monoclonal Antibody (2F12), eBioscience™

Mouse Monoclonal Antibody
Brand: Invitrogen™ 14-9752-82
Description
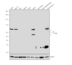
Description: The monoclonal antibody 2F12 recognizes human, mouse, and rat ITK. ITK (also known as Interleukin-2 inducible T-cell kinase, T-cell-specific kinase, Tyrosine-protein kinase Lyk, Emt, and Tsk) is a member of the Tec family of kinases that include Tec, Btk, Bmx, and Txk. Tec family kinases play an indispensable role in activation of phospholipase C and activation of calcium-dependent signaling cascades following antigen receptor triggering. ITK is highly expressed by T cells and is required for optimal TCR-induced PLCgamma1 activation. Mice congenitally lacking ITK show profound defects in T cell development and signaling. Defects in ITK are the cause of lymphoproliferative syndrome EBV-associated autosomal type 1 (LPSA1). ITK also plays a role in the development of various T cell mediated inflammatory disorders such as atopic dermatitis, psoriasis, and allergic asthma. Applications Reported: This 2F12 antibody has been reported for use in western blotting, immunohistochemical staining of formalin-fixed paraffin embedded tissue sections, and microscopy. Applications Tested: This 2F12 antibody has been tested by immunohistochemistry of formalin-fixed paraffin embedded human tissue using high pH antigen retrieval and can be used at less than or equal to 1 μg/mL. It is recommended that the antibody be carefully titrated for optimal performance in the assay of interest. Purity: Greater than 90%, as determined by SDS-PAGE. Aggregation: Less than 10%, as determined...
ITK is a tyrosine kinase expressed in T-cells which contains both SH2 and SH3 domains. ITK is thought to play a role in T-cell proliferation and differentiation. The Tec family of non-receptor tyrosine kinases is composed of six proteins designated Tec, Itk (also known as Emt or Tsk), Btk (previously known as Atk, BPK or Emb), Bmx, Txk (also known as Rlk) and Dsrc28C. All members of the family contain SH3 and SH2 domains and, with the exception of Txk and Dsrc28C, also contain pleckstrin homology (PH) and Tec homology (TH) domains in their amino termini. Itk associates with CD28 and becomes activated subsequent to CD28 ligation.
Specifications
| ITK | |
| Monoclonal | |
| 0.5 mg/mL | |
| PBS with 0.09% sodium azide; pH 7.2 | |
| Q03526, Q08881 | |
| ITK | |
| Affinity chromatography | |
| RUO | |
| 16428, 363577, 3702 | |
| 4°C | |
| Liquid |
| Immunohistochemistry (Paraffin), Western Blot | |
| 2F12 | |
| Unconjugated | |
| ITK | |
| EMT; homolog of mouse T-cell itk/tsk; IL2 inducible T cell kinase; IL2 inducible T-cell kinase; IL-2-inducible T cell kinase; IL-2-inducible T-cell kinase; IL2-inducible T-cell kinase; interleukin-2-inducible T cell kinase; interleukin-2-inducible T-cell kinase; ITK; Kinase EMT; kinase TLK; LPFS1; LYK; MGC126257; MGC126258; PSCTK2; T-cell-specific kinase; Tcsk; Tlk; Tsk; Tyrosine-protein kinase ITK/TSK; tyrosine-protein kinase LYK | |
| Mouse | |
| 100 μg | |
| Primary | |
| Human, Mouse, Rat | |
| Antibody | |
| IgG1 κ |
Your input is important to us. Please complete this form to provide feedback related to the content on this product.