missing translation for 'onlineSavingsMsg'
Learn More

JPH1 Rabbit anti-Human, Mouse, Polyclonal, Proteintech

Rabbit Polyclonal Antibody

Brand:  Proteintech 25979-1-AP-20UL

 View more versions of this product

Product Code. 16864505

  • € 145.00 / 20µL

Please to purchase this item. Need a web account? Register with us today!

This item is not returnable. View return policy

Description

Description

Junctional complexes between the plasma membrane and endoplasmic/sarcoplasmic reticulum are a common feature of all excitable cell types and mediate cross talk between cell surface and intracellular ion channels. The protein encoded by this gene is a component of junctional complexes and is composed of a C-terminal hydrophobic segment spanning the endoplasmic/sarcoplasmic reticulum membrane and a remaining cytoplasmic domain that shows specific affinity for the plasma membrane. This gene is a member of the junctophilin gene family.
Specifications

Specifications

JPH1
Polyclonal
Unconjugated
JPH1
JP 1, JP1, JPH1, junctophilin 1, Junctophilin type 1
Rabbit
Antigen Affinity Chromatography
RUO
56704, 57339
-20°C
Liquid
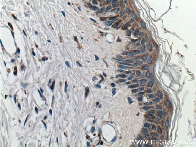
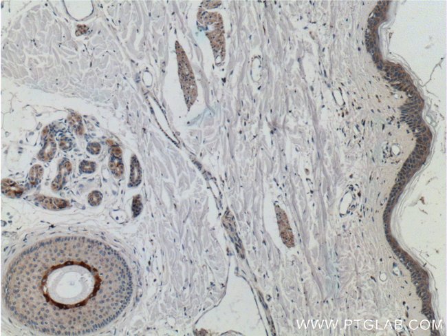
Immunohistochemistry (Paraffin), Western Blot
0.43 mg/mL
PBS with 50% glycerol and 0.1% sodium azide; pH 7.3
Q9ET80, Q9HDC5
JPH1
JPH1 Fusion Protein Ag23270
20 μL
Primary
Mouse, Human
Antibody
IgG
Product Suggestions

Product Suggestions

Videos
SDS
Documents

Documents

Certificates
Promotions

Promotions

Product Content Correction

Your input is important to us. Please complete this form to provide feedback related to the content on this product.

Product Title

By clicking Submit, you acknowledge that you may be contacted by Fisher Scientific in regards to the feedback you have provided in this form. We will not share your information for any other purposes. All contact information provided shall also be maintained in accordance with our Privacy Policy.

Thank You! Your feedback has been submitted. Fisher Scientific is always working to improve our content for you. We appreciate your feedback.