missing translation for 'onlineSavingsMsg'
Learn More
Learn More
Invitrogen™ KARS Polyclonal Antibody

Rabbit Polyclonal Antibody
Brand: Invitrogen™ PA5119265
This item is not returnable.
View return policy
Description
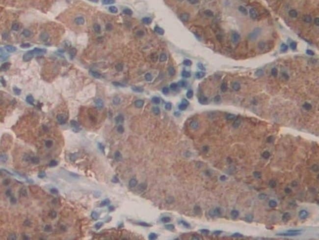
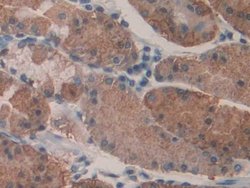
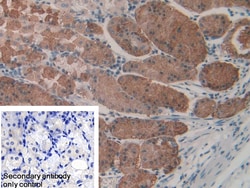
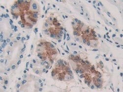
KARS Polyclonal Antibody for Western Blot, ICC/IF, IHC (P)
Aminoacyl-tRNA synthetases are a class of enzymes that charge tRNAs with their cognate amino acids. Lysyl-tRNA synthetase is a homodimer localized to the cytoplasm which belongs to the class II family of tRNA synthetases. It has been shown to be a target of autoantibodies in the human autoimmune diseases, polymyositis or dermatomyositis. Alternatively spliced transcript variants encoding different isoforms have been found for this gene.
Specifications
| KARS | |
| Polyclonal | |
| Unconjugated | |
| KARS1 | |
| AA589550; AL024334; AL033315; AL033367; CMTRIB; D8Ertd698e; D8Wsu108e; DFNB89; EC 6.1.1.6; KARS; Kars1; KARS2; KIAA0070; KRS; lysine tRNA ligase; lysine--tRNA ligase; LysRS; lysyl-tRNA synthetase; mKIAA0070 | |
| Rabbit | |
| Antigen affinity chromatography, Protein A | |
| RUO | |
| 3735 | |
| Store at 4°C short term. For long term storage, store at -20°C, avoiding freeze/thaw cycles. | |
| Liquid |
| Immunohistochemistry (Paraffin), Western Blot, Immunocytochemistry | |
| 0.5 mg/mL | |
| PBS with 50% glycerol and 0.05% ProClin 300; pH 7.4 | |
| Q15046 | |
| KARS1 | |
| Recombinant protein Lysyl tRNA Synthetase. The antigen corresponds to amino acid range 323-553 of the target protein. | |
| 200 μL | |
| Primary | |
| Human | |
| Antibody | |
| IgG |
Product Content Correction
Your input is important to us. Please complete this form to provide feedback related to the content on this product.
Product Title
Spot an opportunity for improvement?Share a Content Correction