missing translation for 'onlineSavingsMsg'
Learn More

KCTD14 Mouse anti-Human, Clone: OTI1D11, lyophilized, TrueMAB™

Mouse Monoclonal Antibody

Brand:  Origene Technologies CF502534

Encompass_Preferred

Product Code. 17612431

  • € 726.00 / 100µg

Please to purchase this item. Need a web account? Register with us today!

This item is not returnable. View return policy

Description

Description

Reconstitute with PBS (pH 7.3) and recommend to perform another round of desalting process using Product No. 7KMWCO

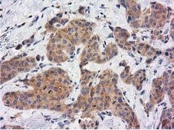
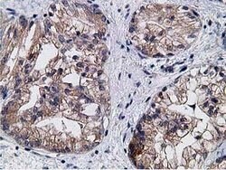
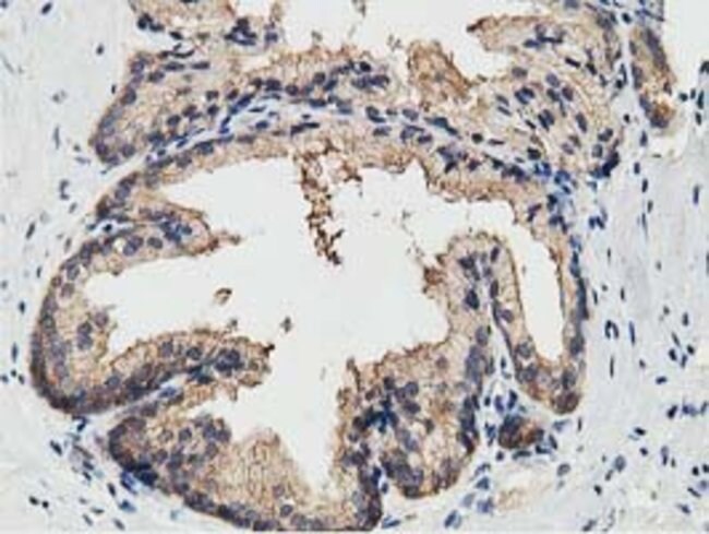
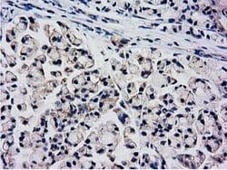
KCTD14 is a protein coding gene.
Specifications

Specifications

KCTD14
Monoclonal
Unconjugated
KCTD14
potassium channel tetramerization domain containing 14
Mouse
Affinity Chromatography
RUO
65987
-20° C, Avoid Freeze/Thaw Cycles
Lyophilized
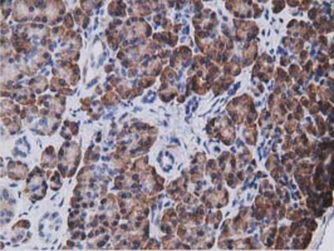
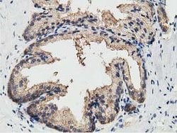
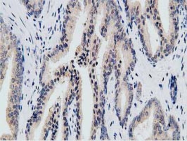
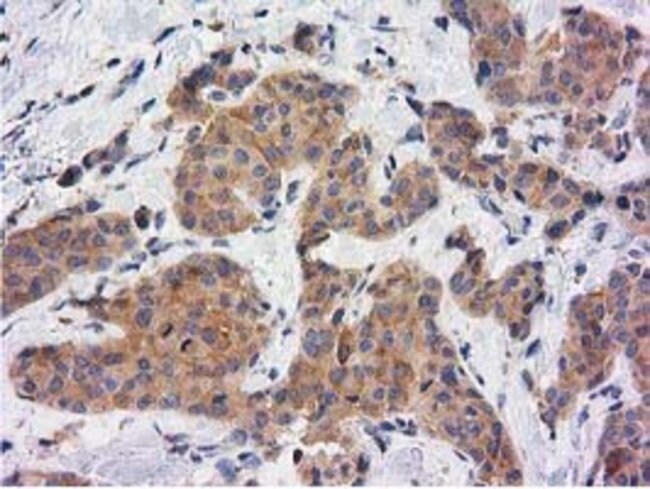
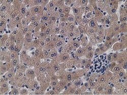
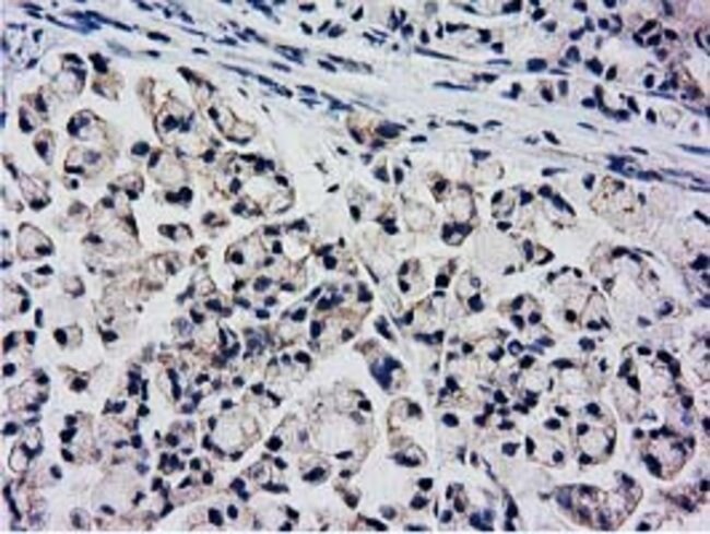
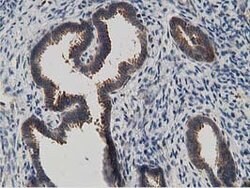
Flow Cytometry, Immunocytochemistry, Immunofluorescence, Immunohistochemistry (Paraffin), Western Blot
OTI1D11
PBS with 8% trehalose and no preservative; pH 7.3
Q9BQ13
KCTD14
Full length human recombit protein of human KCTD14 produced in HEK293T cell.
100 μg
Primary
Human
Antibody
IgG1
Product Suggestions

Product Suggestions

Videos
SDS
Documents

Documents

Certificates
Promotions

Promotions

Product Content Correction

The Fisher Scientific Encompass Program offers items which are not part of our distribution portfolio. These products typically do not have pictures or detailed descriptions. However, we are committed to improving your shopping experience. Please use the form below to provide feedback related to the content on this product.

Product Title

By clicking Submit, you acknowledge that you may be contacted by Fisher Scientific in regards to the feedback you have provided in this form. We will not share your information for any other purposes. All contact information provided shall also be maintained in accordance with our Privacy Policy.

Thank You! Your feedback has been submitted. Fisher Scientific is always working to improve our content for you. We appreciate your feedback.