missing translation for 'onlineSavingsMsg'
Learn More

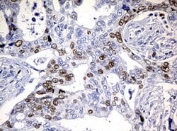
Ki67 Rat anti-Human, Clone: OTI5D7, liquid, TrueMAB™

Rat Monoclonal Antibody

Brand:  Origene Technologies TA801577

Encompass_Preferred

Product Code. 17599932

  • € 540.87 / 100µL

Please to purchase this item. Need a web account? Register with us today!

This item is not returnable. View return policy

Description

Description

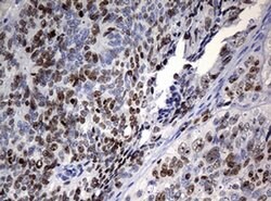
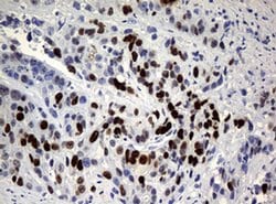
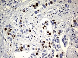
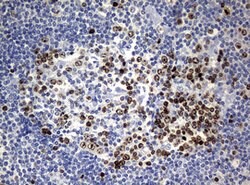
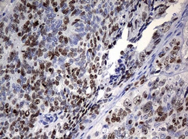
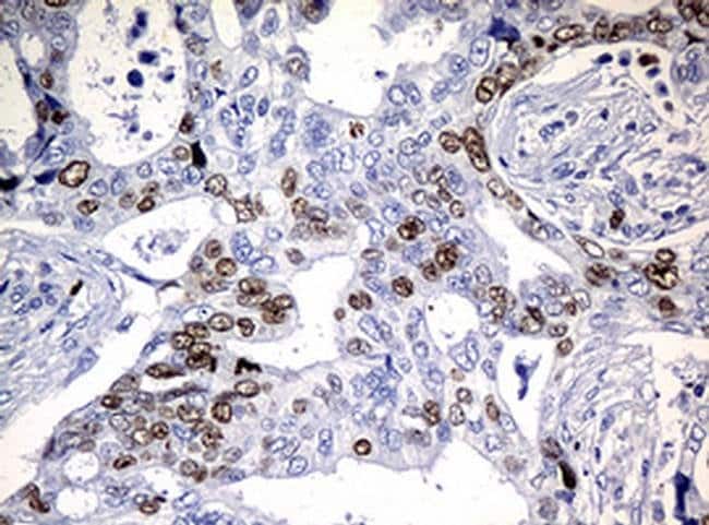
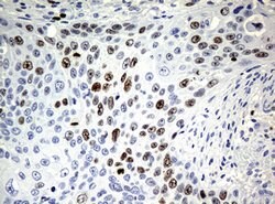
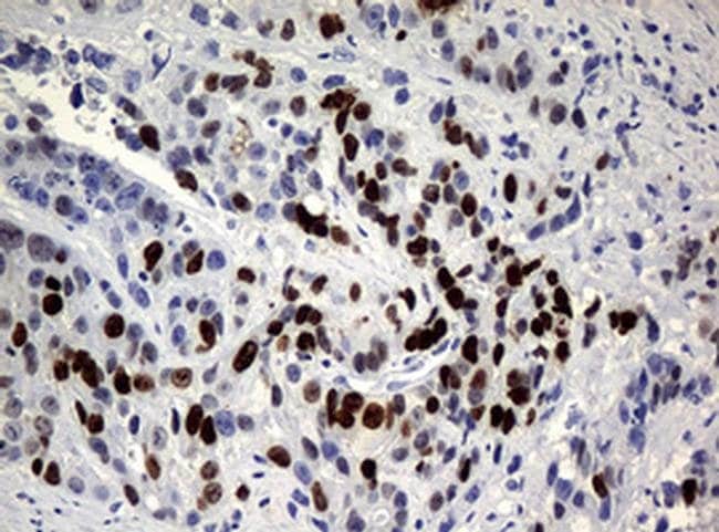
Ki-67 is a nuclear protein that is expressed during various stages in the cell cycle, particularly during late G1, S, G2, and M phases. The protein has a forkhead associated domain (FHA) through which it associates with euchromatin at the perichromosomal layer, the centromeric heterochromatin, and the nucleolus. Ki-67 is shown to have a cell cycle dependent topographical distribution with perinucleolar expression at G1, expression in the nuclear matrix at G2, and expression on the chromosomes during M phase. Ki-67 is commonly used as a proliferation marker because it is not detected in G0 cells, but increases steadily from G1 through mitosis. Ki-67 antibodies are useful in establishing the cell growing fraction in neoplasms. In neoplastic tissues, the prognostic value is comparable to the tritiated thymidine-labelling index. The correlation between low Ki-67 index and histologically low-grade tumors is strong. Ki-67 is routinely used as a neuronal marker of cell cycling and proliferation.
Specifications

Specifications

Ki67
Monoclonal
1 mg/mL
PBS with 1% BSA, 50% glycerol and 0.02% sodium azide
P46013
MKI67
Human recombit protein fragment corresponding to amino acids 1160-1493 of human MKI67 produced in E.coli.
100 μL
Primary
Human
Antibody
IgG1
Immunohistochemistry (Paraffin)
OTI5D7
Unconjugated
MKI67
KIA, MIB-, MIB-1, PPP1R105
Rat
Affinity Chromatography
RUO
4288
-20° C, Avoid Freeze/Thaw Cycles
Liquid
Product Suggestions

Product Suggestions

Videos
SDS
Documents

Documents

Certificates
Promotions

Promotions

Product Content Correction

The Fisher Scientific Encompass Program offers items which are not part of our distribution portfolio. These products typically do not have pictures or detailed descriptions. However, we are committed to improving your shopping experience. Please use the form below to provide feedback related to the content on this product.

Product Title

By clicking Submit, you acknowledge that you may be contacted by Fisher Scientific in regards to the feedback you have provided in this form. We will not share your information for any other purposes. All contact information provided shall also be maintained in accordance with our Privacy Policy.

Thank You! Your feedback has been submitted. Fisher Scientific is always working to improve our content for you. We appreciate your feedback.