missing translation for 'onlineSavingsMsg'
Learn More
Learn More
Description
Immunogen sequence: RKTQEVSALR RLAKPMSERV AGRAGLKPPM LDSGAEVSAS TTSSEAESGA RSVSSIVRQW NRKINHFLGD HPAPTVNGTR PARKKFQKKG Highest antigen sequence identity to the following orthologs: Mouse - 91%, Rat - 93%.
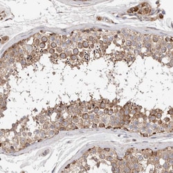
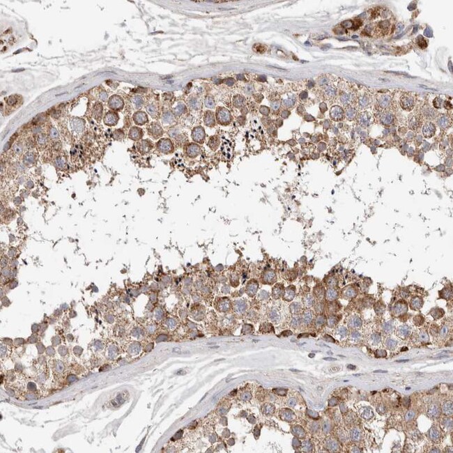
KIF6 belongs to the kinesin-like protein family. There are four named isoforms. The KIF6 719Arg variant has been associated with an increased risk of coronary disease and an increased response to statin therapy.
Specifications
Specifications
| Antigen | KIF21B |
| Applications | Immunohistochemistry (Paraffin) |
| Classification | Polyclonal |
| Concentration | 0.2 mg/mL |
| Conjugate | Unconjugated |
| Formulation | PBS with 40% glycerol and 0.02% sodium azide; pH 7.2 |
| Gene | KIF21B |
| Gene Accession No. | O75037 |
| Gene Alias | 2610511N21Rik; DKFZP434J212; KIAA0449; KIF21B; Kif6; kinesin family member 21B; kinesin-like protein KIF21B; Kinesin-like protein KIF6; LOW QUALITY PROTEIN: kinesin-like protein KIF21B; mKIAA0449; N-5 kinesin; zmp:0000000534 |
| Gene Symbols | KIF21B |
| Show More |
Product Title
By clicking Submit, you acknowledge that you may be contacted by Fisher Scientific in regards to the feedback you have provided in this form. We will not share your information for any other purposes. All contact information provided shall also be maintained in accordance with our Privacy Policy.
Spot an opportunity for improvement?
