missing translation for 'onlineSavingsMsg'
Learn More
Learn More
Description
Immunogen sequence: ITVTLTTASC SDSTADQACS ATLPREQTEA GRAGRSRRAS QGALAPQLVP GNPAGHAEQV QARLQLVDS Highest antigen sequence identity to the following orthologs: Mouse - 30%, Rat - 30%.
The protein encoded by this gene is a member of the kinesin-like protein family. Protein family members are microtubule-dependent molecular motors that transport organelles within cells and move chromosomes during cell division. However, the particular function of this gene product has not yet been determined. Two alternatively spliced transcript variants which encode products have been described. Other splice variants have been found that lack exon 2 and the initiation codon for translation.
Specifications
Specifications
| Antigen | KIF25 |
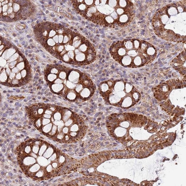
| Applications | Immunohistochemistry (Paraffin), Western Blot |
| Classification | Polyclonal |
| Concentration | 0.2 mg/mL |
| Conjugate | Unconjugated |
| Formulation | PBS with 40% glycerol and 0.02% sodium azide; pH 7.2 |
| Gene | KIF25 |
| Gene Accession No. | Q9UIL4 |
| Gene Alias | KIF25; kinesin family member 25; kinesin-like 3; kinesin-like protein 3; Kinesin-like protein KIF25; KNSL3 |
| Gene Symbols | KIF25 |
| Show More |
Product Title
By clicking Submit, you acknowledge that you may be contacted by Fisher Scientific in regards to the feedback you have provided in this form. We will not share your information for any other purposes. All contact information provided shall also be maintained in accordance with our Privacy Policy.
Spot an opportunity for improvement?
