missing translation for 'onlineSavingsMsg'
Learn More
Learn More
Invitrogen™ Kir3.1 (KCNJ3) Monoclonal Antibody (OTI3E11)

Mouse Monoclonal Antibody
Brand: Invitrogen™ MA525833
This item is not returnable.
View return policy
Description
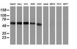
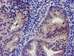
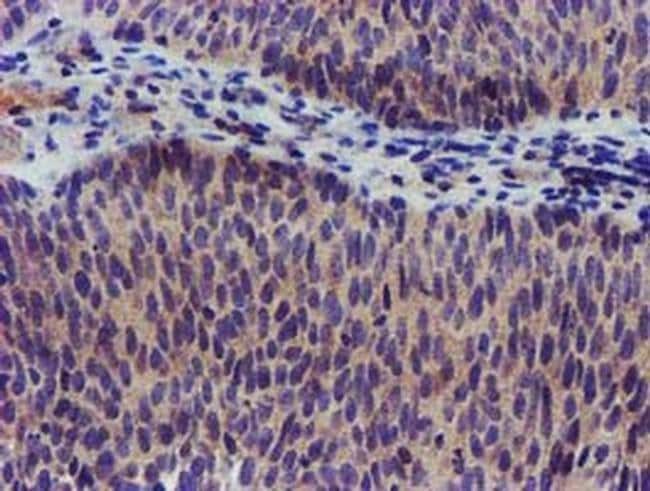
Kir3.1 (KCNJ3) Monoclonal Antibody for Western Blot, IHC (P), ICC/IF, Flow
This potassium channel is controlled by G proteins. Inward rectifier potassium channels are characterized by a greater tendency to allow potassium to flow into the cell rather than out of it. Their voltage dependence is regulated by the concentration of extracellular potassium; as external potassium is raised, the voltage range of the channel opening shifts to more positive voltages. The inward rectification is mainly due to the blockage of outward current by internal magnesium. This receptor plays a crucial role in regulating the heartbeat.
Specifications
| Kir3.1 (KCNJ3) | |
| Monoclonal | |
| 1 mg/mL | |
| PBS with 1% BSA, 50% glycerol and 0.02% sodium azide; pH 7.3 | |
| P48549, P63250 | |
| KCNJ3 | |
| Human recombinant protein fragment corresponding to amino acids 279-501 of KCNJ3 produced in E.coli. | |
| 100 μL | |
| Primary | |
| Human, Mouse, Monkey | |
| Antibody | |
| IgG2b |
| Flow Cytometry, Immunohistochemistry (Paraffin), Western Blot, Immunocytochemistry | |
| OTI3E11 | |
| Unconjugated | |
| KCNJ3 | |
| EGK_04447; G protein-activated inward rectifier potassium channel 1; GIRK1; GIRK-1; HGIRK1; inward rectifier K(+) channel Kir3.1; inward rectifier K+ channel KIR3.1; Kcnf3; Kcnj3; KGA; KGB1; KIR3.1; potassium channel inwarding rectifying channel subfamily J member 3; potassium channel subunit Kir3.1 type 3 delta; potassium channel, inwardly rectifying subfamily J member 3; potassium channel, inwardly rectifying subfamily J, member 3; potassium inwardly rectifying channel subfamily J member 3; potassium inwardly-rectifying channel subfamily J member 3 splice variant 1e; potassium inwardly-rectifying channel, subfamily J, member 3; potassium voltage-gated channel subfamily J member 3 | |
| Mouse | |
| Affinity Chromatography | |
| RUO | |
| 16519, 3760 | |
| -20°C, Avoid Freeze/Thaw Cycles | |
| Liquid |
Product Content Correction
Your input is important to us. Please complete this form to provide feedback related to the content on this product.
Product Title
Spot an opportunity for improvement?Share a Content Correction