missing translation for 'onlineSavingsMsg'
Learn More
Learn More
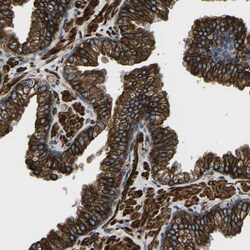
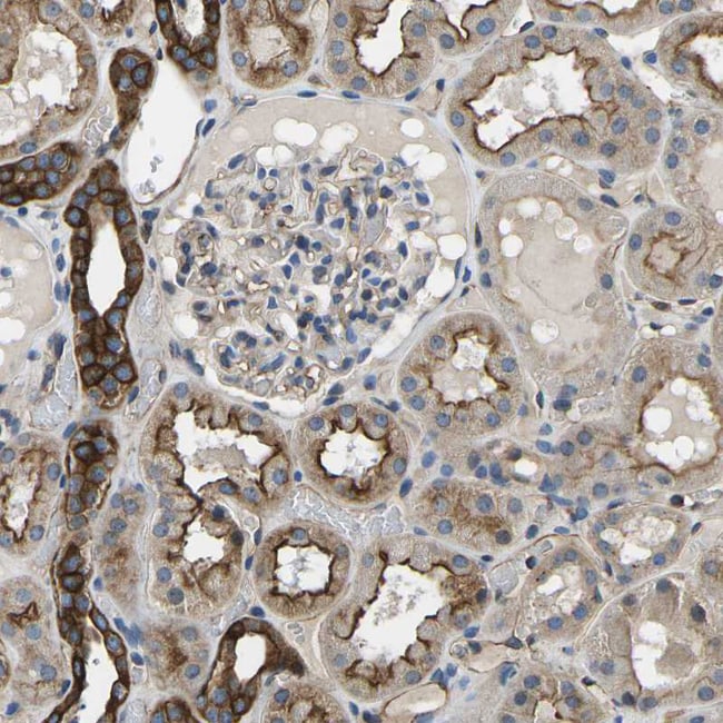
Description
Immunogen sequence: SAVCQSRTSY IPEEIYWGFE FVPVVSLSKN GKYVADFSQF EQIRKSPDCT FYCADSEKQQ LEEKYRQEDQ RERELRTL Highest antigen sequence identity to the following orthologs: Mouse - 96%, Rat - 96%.
Inward rectifier potassium channels are characterized by a greater tendency to allow potassium to flow into the cell rather than out of it. Their voltage dependence is regulated by the concentration of extracellular potassium; as external potassium is raised, the voltage range of the channel opening shifts to more positive voltages. The inward rectification is mainly due to the blockage of outward current by internal magnesium.
Specifications
Specifications
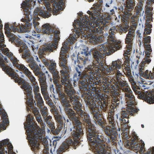
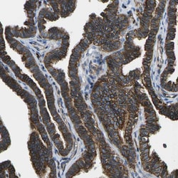
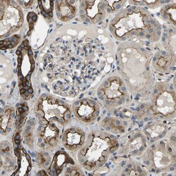
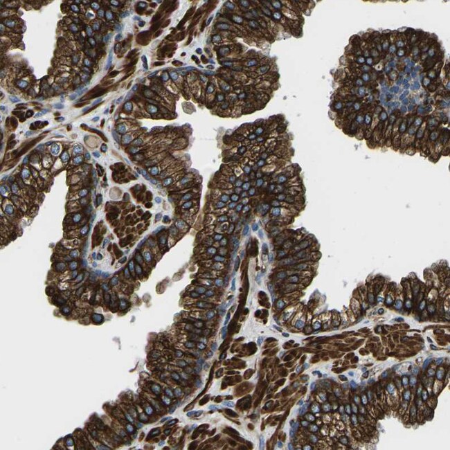
| Antigen | Kir4.2 (KCNJ15) |
| Applications | Immunohistochemistry (Paraffin), Immunocytochemistry |
| Classification | Polyclonal |
| Concentration | 0.3 mg/mL |
| Conjugate | Unconjugated |
| Formulation | PBS with 40% glycerol and 0.02% sodium azide; pH 7.2 |
| Gene | Kcnj15 |
| Gene Accession No. | Q99712 |
| Gene Alias | 4930414N08Rik; AI182284; AI267127; ATP-sensitive inward rectifier potassium channel 15; Inward rectifier K(+) channel Kir1.3; inward rectifier K(+) channel Kir4.2; inward rectifier K+ channel KIR4.2; IRKK; KCNJ14; KCNJ15; KIR1.3; Kir4.2; Potassium channel, inwardly rectifying subfamily J member 15; potassium channel, inwardly rectifying subfamily J, member 15; potassium inwardly-rectifying channel, subfamily J, member 15; potassium voltage-gated channel subfamily J member 15 |
| Gene Symbols | Kcnj15 |
| Show More |
Product Title
By clicking Submit, you acknowledge that you may be contacted by Fisher Scientific in regards to the feedback you have provided in this form. We will not share your information for any other purposes. All contact information provided shall also be maintained in accordance with our Privacy Policy.
Spot an opportunity for improvement?
