missing translation for 'onlineSavingsMsg'
Learn More

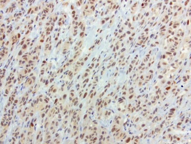
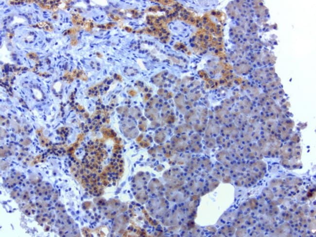
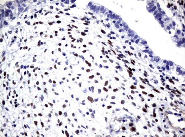
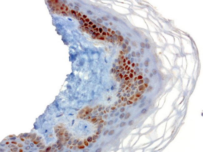
SOX5 Mouse anti-Human, Clone: UMAB53, liquid, UltraMAB™

Mouse Monoclonal Antibody

Brand:  Origene Technologies UM500047

Encompass_Preferred

Product Code. 17559524

  • POA / 100µL

Please to purchase this item. Need a web account? Register with us today!

This item requires a price update prior to being ordered.

Request a Price for this item here.

View alternative products »

This item is not returnable. View return policy

Description

Description

This gene encodes a member of the SOX (SRY-related HMG-box) family of transcription factors involved in the regulation of embryonic development and in the determination of the cell fate. The encoded protein may act as a transcriptional regulator after forming a protein complex with other proteins. The encoded protein may play a role in chondrogenesis. A pseudogene of this gene is located on chromosome 8. Multiple transcript variants encoding distinct isoforms have been identified for this gene.
Specifications

Specifications

SOX5
Monoclonal
Unconjugated
SOX5
L-SOX5, L-SOX5B, L-SOX5F, LAMSHF
Mouse
Affinity Chromatography
RUO
6660
-20° C, Avoid Freeze/Thaw Cycles
Liquid
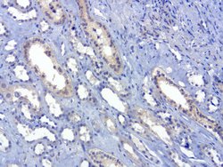
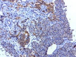
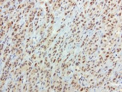
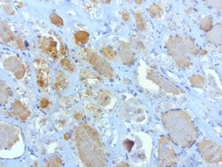
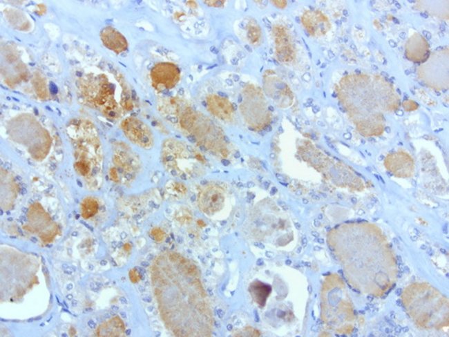
Immunohistochemistry (Paraffin)
UMAB53
PBS with 1% BSA, 50% glycerol and 0.02% sodium azide
P35711
SOX5
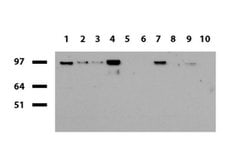
Full length human recombit protein of human SOX5 produced in HEK293T cell.
100 μL
Primary
Human
Antibody
IgG3
Product Suggestions

Product Suggestions

Videos
SDS
Documents

Documents

Certificates
Promotions

Promotions

Product Content Correction

The Fisher Scientific Encompass Program offers items which are not part of our distribution portfolio. These products typically do not have pictures or detailed descriptions. However, we are committed to improving your shopping experience. Please use the form below to provide feedback related to the content on this product.

Product Title

By clicking Submit, you acknowledge that you may be contacted by Fisher Scientific in regards to the feedback you have provided in this form. We will not share your information for any other purposes. All contact information provided shall also be maintained in accordance with our Privacy Policy.

Thank You! Your feedback has been submitted. Fisher Scientific is always working to improve our content for you. We appreciate your feedback.