missing translation for 'onlineSavingsMsg'
Learn More

KLK8 Mouse anti-Human, Clone: UMAB84, liquid, UltraMAB™

Mouse Monoclonal Antibody

Brand:  Origene Technologies UM570068

Encompass_Preferred

Product Code. 17569704

  • € 271.04 / 30µL

Please to purchase this item. Need a web account? Register with us today!

This item is not returnable. View return policy

Description

Description

Kallikreins are a subgroup of serine proteases having diverse physiological functions. Growing evidence suggests that many kallikreins are implicated in carcinogenesis and some have potential as novel cancer and other disease biomarkers. This gene is one of the fifteen kallikrein subfamily members located in tandem in a gene cluster on chromosome 19. The encoded protein may be involved in proteolytic cascade in the skin and may serve as a biomarker for ovarian cancer. Alternate splicing of this gene results in multiple transcript variants encoding different isoforms.
Specifications

Specifications

KLK8
Monoclonal
0.5-1.0 mg/mL
PBS with 1% BSA, 50% glycerol and 0.02% sodium azide
O60259
KLK8
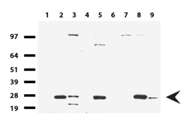
Full length human recombit protein of human KLK8 produced in HEK293T cell.
30 μL
Primary
Human
Antibody
IgG1
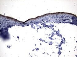
Immunohistochemistry (Paraffin)
UMAB84
Unconjugated
KLK8
HNP, NP, NRPN, PRSS19, TADG14
Mouse
Affinity Chromatography
RUO
11202
-20° C, Avoid Freeze/Thaw Cycles
Liquid
Product Suggestions

Product Suggestions

Videos
SDS
Documents

Documents

Certificates
Promotions

Promotions

Product Content Correction

The Fisher Scientific Encompass Program offers items which are not part of our distribution portfolio. These products typically do not have pictures or detailed descriptions. However, we are committed to improving your shopping experience. Please use the form below to provide feedback related to the content on this product.

Product Title

By clicking Submit, you acknowledge that you may be contacted by Fisher Scientific in regards to the feedback you have provided in this form. We will not share your information for any other purposes. All contact information provided shall also be maintained in accordance with our Privacy Policy.

Thank You! Your feedback has been submitted. Fisher Scientific is always working to improve our content for you. We appreciate your feedback.