missing translation for 'onlineSavingsMsg'
Learn More
Learn More
Invitrogen™ Lamin A/C Polyclonal Antibody

Description
Positive Control: HeLa, A431, NIH-3T3, K562 Predicted Reactivity: Xenopus laevis (81%), Dog (98%), Pig (98%), Rhesus Monkey (99%), Chimpanzee (100%), Bovine (98%) Store product as a concentrated solution. Centrifuge briefly prior to opening the vial.
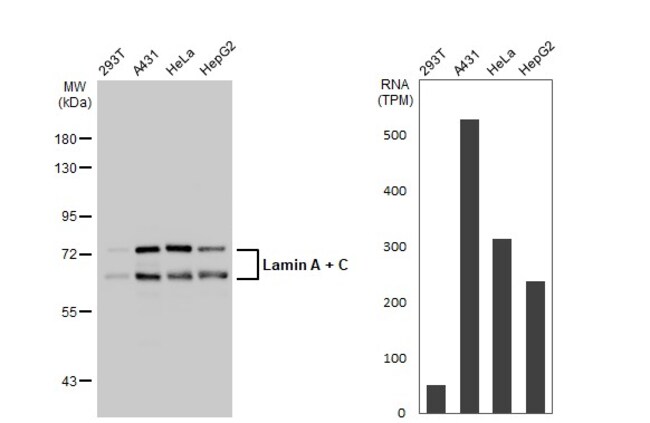
Lamins are a class of intermediate filament proteins that form a matrix on the inner surface of the nuclear envelope. These proteins are found in many different cell types in three different forms (A, B, and C). Lamins A and C are alternatively spliced versions of the LMNA gene. The LMNA gene has been linked to many disorders of the muscular system, nervous system, and the fat distributions systems including: Emery-Dreifuss muscular dystrophy, Dunnigan-type familial partial lipodystrophy (FPLD), limb-girdle muscular dystrophy (LGMD1B), dilated cardiomyopathy (CMD1A), axonal neuropathy (Charcot-Marie-Tooth disease; CMT2B1), and mandibuloacral dysplasia (MAD).
Specifications
Specifications
| Antigen | Lamin A/C |
| Applications | Immunohistochemistry (Paraffin), Immunoprecipitation, Western Blot, Immunocytochemistry |
| Classification | Polyclonal |
| Concentration | 0.16 mg/mL |
| Conjugate | Unconjugated |
| Formulation | PBS with 1% BSA, 20% glycerol and 0.025% ProClin 300; pH 7 |
| Gene | LMNA |
| Gene Accession No. | P02545, P48678, P48679 |
| Gene Alias | 70 kDa lamin; cb948; CDCD1; CDDC; CMD1A; CMT2B1; Dhe; EMD2; FPL; FPLD; FPLD2; HGPS; I79_009616; IDC; lamin; lamin A; lamin A/C; lamin A/C L homeolog; lamin A/C-like 1; Lamin A+C mutant; Lamin AC; lamin a-c; lamin C; lamin C2; lamin-A; Lamin-A/C; LDP1; LFP; LGMD1B; LMN1; lmna; LMNA protein; lmna.L; lmna-A; LMNC; LMNL1; mutant 453W; Mutant lamin A/C; nuclear intermediate filament protein; nuclear lamin A; prelamin-A/C; PRO1; progerin mutant; Renal carcinoma antigen NY-REN-32; RP11-54H19.1; unnamed protein product; wu:fk66d12; XELAEV_18040808mg |
| Gene Symbols | LMNA |
| Show More |
Product Title
By clicking Submit, you acknowledge that you may be contacted by Fisher Scientific in regards to the feedback you have provided in this form. We will not share your information for any other purposes. All contact information provided shall also be maintained in accordance with our Privacy Policy.
Spot an opportunity for improvement?