missing translation for 'onlineSavingsMsg'
Learn More
Learn More
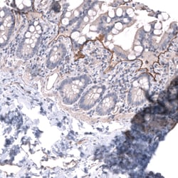
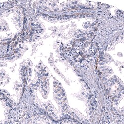
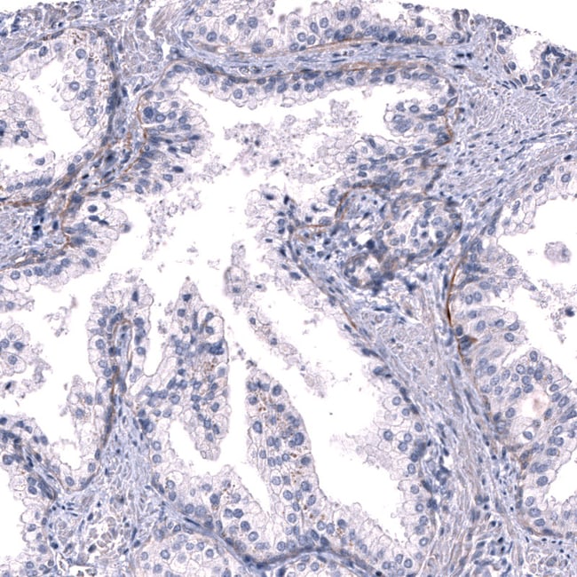
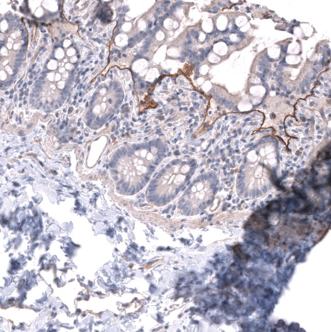
Invitrogen™ Laminin alpha-3 Polyclonal Antibody

Rabbit Polyclonal Antibody
Brand: Invitrogen™ PA552665
This item is not returnable.
View return policy
Description
Immunogen sequence: LLNRIRTWQK THQGENNGLA NSIRDSLNEY EAKLSDLRAR LQEAAAQAKQ ANGLNQENER ALGAIQRQVK EINSLQSDFT KYLTTADSSL LQTNIALQLM EKSQKEYE Highest antigen sequence identity to the following orthologs: Mouse - 74%, Rat - 71%.
Laminin is a non-collagenous protein of basement membranes. By rotary shadowing it has a cross-like shape, consisting of one long arm, (400 kD) and three short arms (200 kD). Antibodies to laminin localize exclusively in basement membranes. Laminin is found throughout the basement membrane, but the reaction with the antibodies to laminin is more intense in the lamina lucida, the part of the basement membrane adjacent to the cell membrane. Laminin binds to type IV collagen, a component exclusively localized in the basement membrane. Laminin has been shown to play a role in cell adhesion and attachment in vivo and in vitro.
Specifications
| Laminin alpha-3 | |
| Polyclonal | |
| Unconjugated | |
| LAMA3 | |
| [a]3B; BM600; BM600 150kD subunit; E170; Epiligrin; Epiligrin 170 kDa subunit; epiligrin alpha 3 subunit; epiligrin subunit alpha; kalinin 165kD subunit; kalinin subunit alpha; LAM3, alpha-3 subunit; Lama3; Lama3B; laminin 5 alpha 3; laminin 5, alpha-3 subunit; laminin A3; laminin subunit alpha 3; laminin subunit alpha-3; laminin, alpha 3; laminin, alpha 3 (nicein (150kD), kalinin (165kD), BM600 (150kD), epilegrin); Laminin-5; laminin-5 alpha 3 chain; laminin-5 subunit alpha; Laminin-6 subunit alpha; laminin-7 subunit alpha; LAMNA; LOCS; nicein 150kD subunit; nicein subunit alpha; nicein, 150kDa | |
| Rabbit | |
| Antigen affinity chromatography | |
| RUO | |
| 3909 | |
| Store at 4°C short term. For long term storage, store at -20°C, avoiding freeze/thaw cycles. | |
| Liquid |
| Immunohistochemistry (Paraffin), Immunocytochemistry | |
| 0.3 mg/mL | |
| PBS with 40% glycerol and 0.02% sodium azide; pH 7.2 | |
| Q16787 | |
| LAMA3 | |
| Recombinant protein corresponding to Human Laminin alpha-3. Recombinant protein control fragment (Product #RP-89598). | |
| 100 μL | |
| Primary | |
| Human | |
| Antibody | |
| IgG |
Product Content Correction
Your input is important to us. Please complete this form to provide feedback related to the content on this product.
Product Title
Spot an opportunity for improvement?Share a Content Correction