missing translation for 'onlineSavingsMsg'
Learn More

LGALS3 Mouse anti-Human, Clone: OTI1C7, lyophilized, TrueMAB™

Mouse Monoclonal Antibody

Brand:  Origene Technologies CF801621

Encompass_Preferred

Product Code. 17636651

  • € 726.00 / 100µg

Please to purchase this item. Need a web account? Register with us today!

This item is not returnable. View return policy

Description

Description

Reconstitute with PBS (pH 7.3) and recommend to perform another round of desalting process using Product No. 7KMWCO

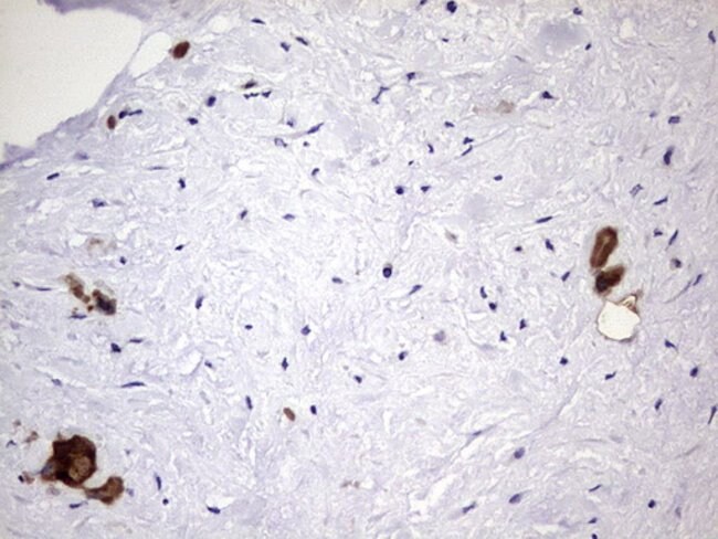
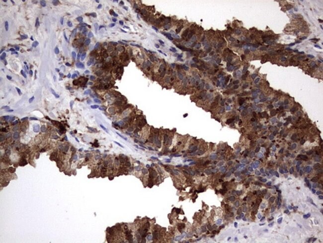
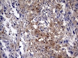
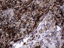
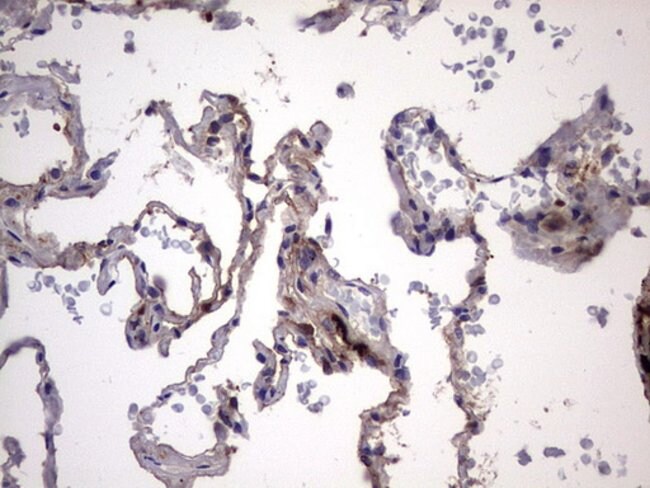
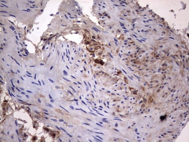
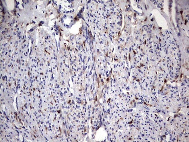
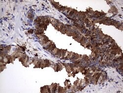
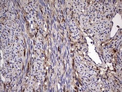
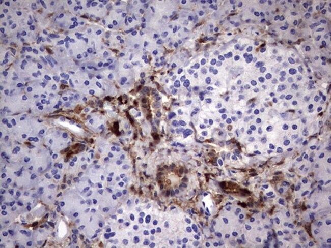
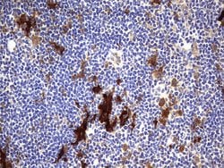
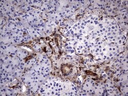
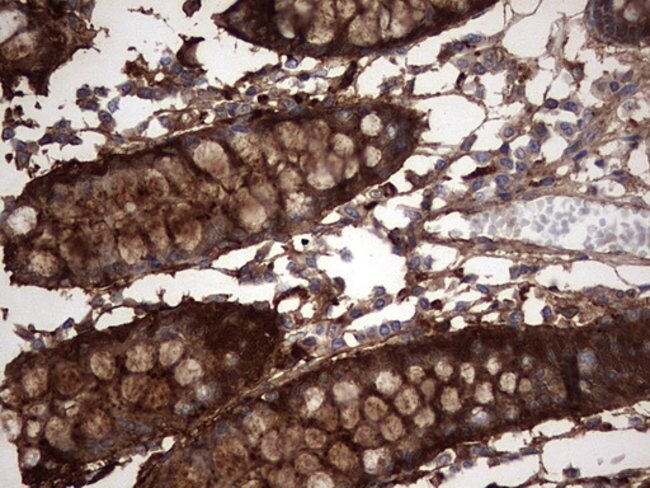
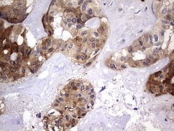
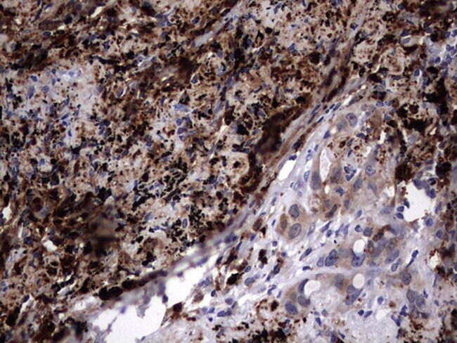
Galactose-specific lectin which binds IgE. May mediate with the alpha-3, beta-1 integrin the stimulation by CSPG4 of endothelial cells migration. Together with DMBT1, required for terminal differentiation of columnar epithelial cells during early embryogenesis. In the nucleus: acts as a pre-mRNA splicing factor. Involved in acute inflammatory responses including neutrophil activation and adhesion, chemoattraction of monocytes macrophages, opsonization of apoptotic neutrophils, and activation of mast cells.
Specifications

Specifications

LGALS3
Monoclonal
Unconjugated
LGALS3
CBP35, GAL3, GALBP, GALIG, L31, LGALS2, MAC2
Mouse
Affinity Chromatography
RUO
3958
-20° C, Avoid Freeze/Thaw Cycles
Lyophilized
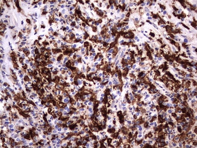
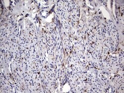
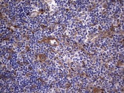
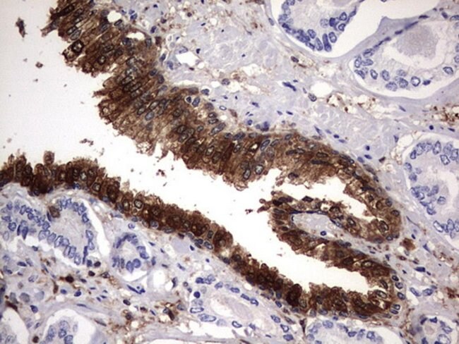
Immunohistochemistry (Paraffin), Western Blot
OTI1C7
PBS with 8% trehalose and no preservative; pH 7.3
P17931
LGALS3
Full length human recombit protein of human LGALS3 produced in E.coli.
100 μg
Primary
Human
Antibody
IgG
Product Suggestions

Product Suggestions

Videos
SDS
Documents

Documents

Certificates
Promotions

Promotions

Product Content Correction

The Fisher Scientific Encompass Program offers items which are not part of our distribution portfolio. These products typically do not have pictures or detailed descriptions. However, we are committed to improving your shopping experience. Please use the form below to provide feedback related to the content on this product.

Product Title

By clicking Submit, you acknowledge that you may be contacted by Fisher Scientific in regards to the feedback you have provided in this form. We will not share your information for any other purposes. All contact information provided shall also be maintained in accordance with our Privacy Policy.

Thank You! Your feedback has been submitted. Fisher Scientific is always working to improve our content for you. We appreciate your feedback.