missing translation for 'onlineSavingsMsg'
Learn More

LGALS9 Mouse anti-Human, Clone: OTI2A4, lyophilized, TrueMAB™

Mouse Monoclonal Antibody

Brand:  Origene Technologies CF805655

Encompass_Preferred

Product Code. 17658531

  • € 726.00 / 100µg

Please to purchase this item. Need a web account? Register with us today!

This item is not returnable. View return policy

Description

Description

Reconstitute with PBS (pH 7.3) and recommend to perform another round of desalting process using Product No. 7KMWCO

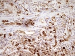
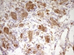
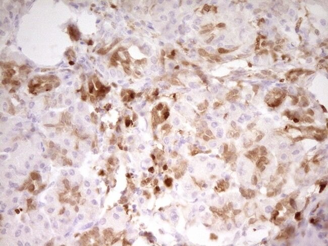
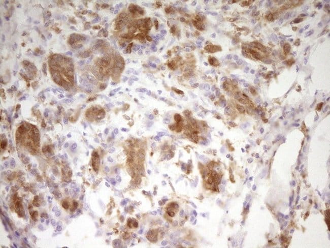
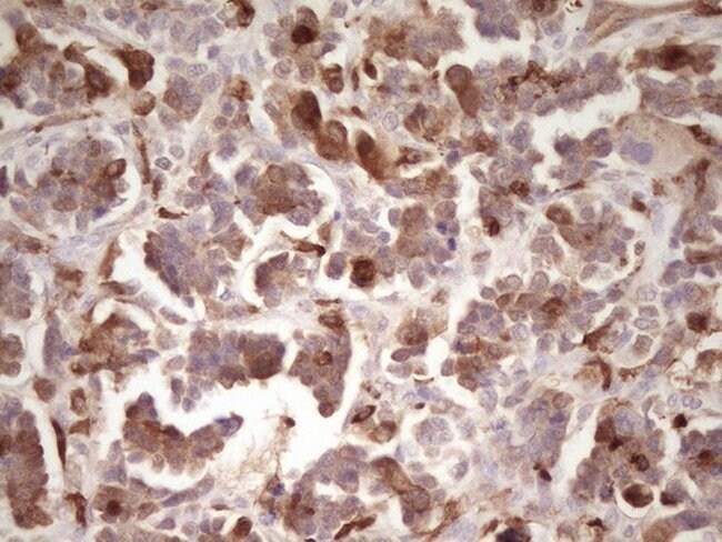
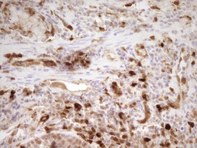
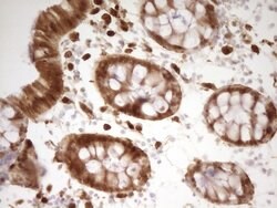
The galectins are a family of beta-galactoside-binding proteins implicated in modulating cell-cell and cell-matrix interactions. The protein encoded by this gene is an S-type lectin. It is overexpressed in Hodgkin′s disease tissue and might participate in the interaction between the H&RS cells with their surrounding cells and might thus play a role in the pathogenesis of this disease and/or its associated immunodeficiency. Multiple alternatively spliced transcript variants have been found for this gene.
Specifications

Specifications

LGALS9
Monoclonal
Unconjugated
LGALS9
HUAT, LGALS9A
Mouse
Affinity Chromatography
RUO
3965
-20° C, Avoid Freeze/Thaw Cycles
Lyophilized
Immunohistochemistry (Paraffin), Western Blot
OTI2A4
PBS with 8% trehalose and no preservative; pH 7.3
O00182
LGALS9
Full length human recombit protein of human LGALS9 produced in HEK293T cell.
100 μg
Primary
Human
Antibody
IgG2a
Product Suggestions

Product Suggestions

Videos
SDS
Documents

Documents

Certificates
Promotions

Promotions

Product Content Correction

The Fisher Scientific Encompass Program offers items which are not part of our distribution portfolio. These products typically do not have pictures or detailed descriptions. However, we are committed to improving your shopping experience. Please use the form below to provide feedback related to the content on this product.

Product Title

By clicking Submit, you acknowledge that you may be contacted by Fisher Scientific in regards to the feedback you have provided in this form. We will not share your information for any other purposes. All contact information provided shall also be maintained in accordance with our Privacy Policy.

Thank You! Your feedback has been submitted. Fisher Scientific is always working to improve our content for you. We appreciate your feedback.