missing translation for 'onlineSavingsMsg'
Learn More

LGR5 Mouse anti-Human, Clone: OTI2H7, TrueMAB™, Origene

Mouse Monoclonal Antibody

Brand:  Origene Technologies TA502948S

Encompass_Preferred

Product Code. 17548161

  • € 242.00 / 30µL

Please to purchase this item. Need a web account? Register with us today!

This item is not returnable. View return policy

Description

Description

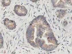
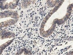
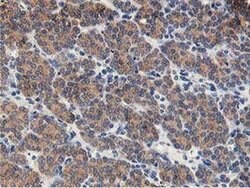
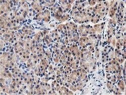
LGR5 Monoclonal antibody specifically detects LGR5 in Human samples. It is validated for Immunocytochemistry, Immunohistochemistry (Paraffin), Western Blot
Specifications

Specifications

LGR5
Monoclonal
0.72 mg/mL
PBS with 1% BSA, 50% glycerol and 0.02% sodium azide
O75473
Mouse
Affinity chromatography
RUO
8549
-20° C, Avoid Freeze/Thaw Cycles
Liquid
Immunocytochemistry, Immunohistochemistry (Paraffin), Western Blot
OTI2H7
Unconjugated
Lgr5
Fex; follicle expressed hormone; G protein-coupled receptor 49; GPR49; GPR67; G-protein coupled receptor 49; G-protein coupled receptor 67; G-protein coupled receptor HG38; GRP49; HG38; leucine rich repeat containing G protein coupled receptor 5; leucine rich repeat containing G protein-coupled receptor 5; leucine-rich repeat containing G protein-coupled receptor 5; leucine-rich repeat-containing G protein-coupled receptor 5; leucine-rich repeat-containing G-protein coupled receptor 5; Lgr5; orphan G protein-coupled receptor HG38; orphan G-protein coupled receptor FEX
Human recombinant protein fragment corresponding to amino acids 250-550 of human LGR5 produced in 293T Cell.
30 μL
Primary
Human
Antibody
IgG2a
Product Suggestions

Product Suggestions

Videos
SDS
Documents

Documents

Certificates
Promotions

Promotions

Product Content Correction

The Fisher Scientific Encompass Program offers items which are not part of our distribution portfolio. These products typically do not have pictures or detailed descriptions. However, we are committed to improving your shopping experience. Please use the form below to provide feedback related to the content on this product.

Product Title

By clicking Submit, you acknowledge that you may be contacted by Fisher Scientific in regards to the feedback you have provided in this form. We will not share your information for any other purposes. All contact information provided shall also be maintained in accordance with our Privacy Policy.

Thank You! Your feedback has been submitted. Fisher Scientific is always working to improve our content for you. We appreciate your feedback.