missing translation for 'onlineSavingsMsg'
Learn More
Learn More
Description
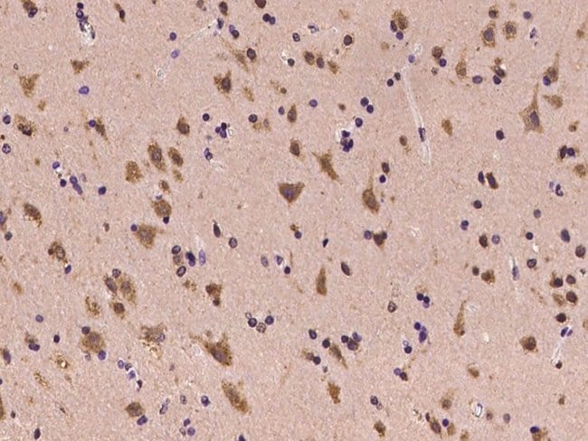
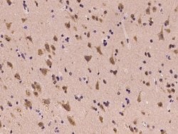
LIAS Polyclonal Antibody for Western Blot, IHC (P), IP
LIAS belongs to the biotin and lipoic acid synthetases family. It localizes in mitochondrion and plays an important role in alpha-(+)-lipoic acid synthesis. It may also function in the sulfur insertion chemistry in lipoate biosynthesis.The protein encoded by this gene belongs to the biotin and lipoic acid synthetases family. It localizes in mitochondrion and plays an important role in alpha-(+)-lipoic acid synthesis. It may also function in the sulfur insertion chemistry in lipoate biosynthesis. Alternative splicing occurs at this locus and two transcript variants encoding distinct isoforms have been identified.The protein encoded by this gene belongs to the biotin and lipoic acid synthetases family. It localizes in mitochondrion and plays an important role in alpha-(+)-lipoic acid synthesis. It may also function in the sulfur insertion chemistry in lipoate biosynthesis. Alternative splicing occurs at this locus and two transcript variants encoding distinct isoforms have been identified.
Specifications
Specifications
| Antigen | LIAS |
| Applications | Immunohistochemistry (Paraffin), Immunoprecipitation, Western Blot |
| Classification | Polyclonal |
| Concentration | 1 mg/mL |
| Conjugate | Unconjugated |
| Formulation | PBS with 0.03% ProClin 300; pH 7 |
| Gene | Lias |
| Gene Accession No. | O43766 |
| Gene Alias | 2900022L22Rik; 4933425M12Rik; 7a5ex; C77512; HAMAP-Rule:MF_03123}; HGCLAS; HUSSY-01; hypothetical protein MGC66080; LAS; LIAS; LIAS protein; LIP1; Lipoate synthase; lipoate synthase {ECO:0000255; lipoic acid synthase; lipoic acid synthase {ECO:0000255; lipoic acid synthetase; lipoic acid synthetase isoform 1 precursor; lipoyl synthase, mitochondrial; lipoyl synthase, mitochondrial {ECO:0000255; Lipoyl synthase, mitochondrial-like protein; lip-syn; lip-syn {ECO:0000255; LS; LS {ECO:0000255; MGC23245; mLip1; PDHLD; zgc:66080 |
| Gene Symbols | Lias |
| Show More |
Product Title
By clicking Submit, you acknowledge that you may be contacted by Fisher Scientific in regards to the feedback you have provided in this form. We will not share your information for any other purposes. All contact information provided shall also be maintained in accordance with our Privacy Policy.
Spot an opportunity for improvement?
