missing translation for 'onlineSavingsMsg'
Learn More

LIMK1 Mouse anti-Canine, Human, Mouse, Rat, Clone: OTI6B4, liquid, TrueMAB™

Mouse Monoclonal Antibody

Brand:  Origene Technologies TA503012

Encompass_Preferred

Product Code. 17508301

  • € 540.87 / 100µL

Please to purchase this item. Need a web account? Register with us today!

This item is not returnable. View return policy

Description

Description

There are approximately 40 known eukaryotic LIM proteins, so named for the LIM domains they contain. LIM domains are highly conserved cysteine-rich structures containing 2 zinc fingers. Although zinc fingers usually function by binding to DNA or RNA, the LIM motif probably mediates protein-protein interactions. LIM kinase-1 and LIM kinase-2 belong to a small subfamily with a unique combination of 2 N-terminal LIM motifs and a C-terminal protein kinase domain. LIMK1 is likely to be a component of an intracellular signaling pathway and may be involved in brain development. LIMK1 hemizygosity is implicated in the impaired visuospatial constructive cognition of Williams syndrome.
Specifications

Specifications

LIMK1
Monoclonal
Unconjugated
LIMK1
LIMK, LIMK-1
Mouse
Affinity Chromatography
RUO
16885, 3984, 489800, 65172
-20° C, Avoid Freeze/Thaw Cycles
Liquid
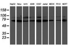
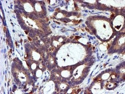
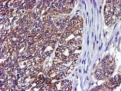
Flow Cytometry, Immunocytochemistry, Immunofluorescence, Immunohistochemistry (Paraffin), Western Blot
OTI6B4
PBS with 1% BSA, 50% glycerol and 0.02% sodium azide
P53667, P53668, P53669
LIMK1
Full length human recombit protein of human LIMK1 produced in HEK293T cell.
100 μL
Primary
Canine, Human, Mouse, Rat
Antibody
IgG2a
Product Suggestions

Product Suggestions

Videos
SDS
Documents

Documents

Product Certifications
Promotions

Promotions

Product Content Correction

The Fisher Scientific Encompass Program offers items which are not part of our distribution portfolio. These products typically do not have pictures or detailed descriptions. However, we are committed to improving your shopping experience. Please use the form below to provide feedback related to the content on this product.

Product Title

By clicking Submit, you acknowledge that you may be contacted by Fisher Scientific in regards to the feedback you have provided in this form. We will not share your information for any other purposes. All contact information provided shall also be maintained in accordance with our Privacy Policy.

Thank You! Your feedback has been submitted. Fisher Scientific is always working to improve our content for you. We appreciate your feedback.