missing translation for 'onlineSavingsMsg'
Learn More
Learn More
Description
Immunogen sequence: TDGTFLSSLL KSPYQGIRSN ATASIPSLVK NLLEKDPTLT CEVLMNAVAT EYAAYHQIDN HIHLINPTDE TLFPGINSKA KELQTWEWIY GKTPK Highest antigen sequence identity to the following orthologs: Mouse - 75%, Rat - 77%.
The process of transferring lipoic acid to proteins is a two-step process. The first step is the activation of lipoic acid by lipoate-activating enzyme to form lipoyl-AMP. For the second step, LIPT1 transfers the lipoyl moiety to apoproteins.The process of transferring lipoic acid to proteins is a two-step process. The first step is the activation of lipoic acid by lipoate-activating enzyme to form lipoyl-AMP. For the second step, the protein encoded by this gene transfers the lipoyl moiety to apoproteins. Alternative splicing in the 5' UTR of this gene results in five transcript variants that encode the same protein.
Specifications
Specifications
| Antigen | LIPT1 |
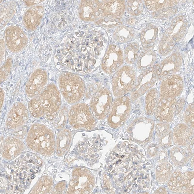
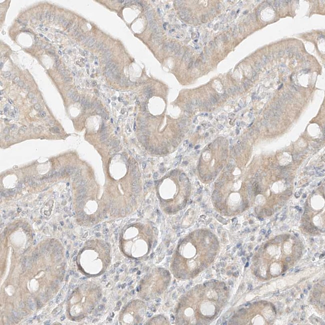
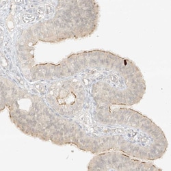
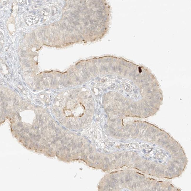
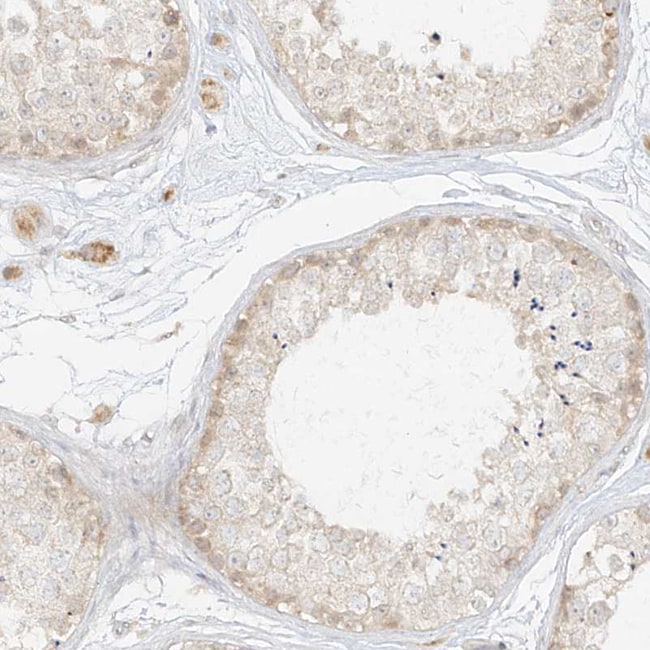
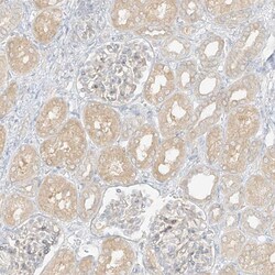
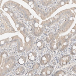
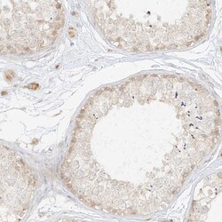
| Applications | Immunohistochemistry (Paraffin), Western Blot |
| Classification | Polyclonal |
| Concentration | 0.2 mg/mL |
| Conjugate | Unconjugated |
| Formulation | PBS with 40% glycerol and 0.02% sodium azide; pH 7.2 |
| Gene | LIPT1 |
| Gene Accession No. | Q9Y234 |
| Gene Alias | Lipoate biosynthesis protein; Lipoate-protein ligase; Lipoyl ligase; lipoyltransferase 1; lipoyltransferase 1, mitochondrial; LIPT1; LIPT1D |
| Gene Symbols | LIPT1 |
| Show More |
Product Title
By clicking Submit, you acknowledge that you may be contacted by Fisher Scientific in regards to the feedback you have provided in this form. We will not share your information for any other purposes. All contact information provided shall also be maintained in accordance with our Privacy Policy.
Spot an opportunity for improvement?
