missing translation for 'onlineSavingsMsg'
Learn More

MAGEB18 Mouse anti-Human, Clone: OTI1H2, lyophilized, TrueMAB™

Mouse Monoclonal Antibody

Brand:  Origene Technologies CF502633

Encompass_Preferred

Product Code. 17632511

  • € 726.00 / 100µg

Please to purchase this item. Need a web account? Register with us today!

This item is not returnable. View return policy

Description

Description

Reconstitute with PBS (pH 7.3) and recommend to perform another round of desalting process using Product No. 7KMWCO

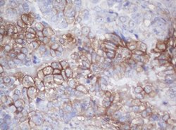
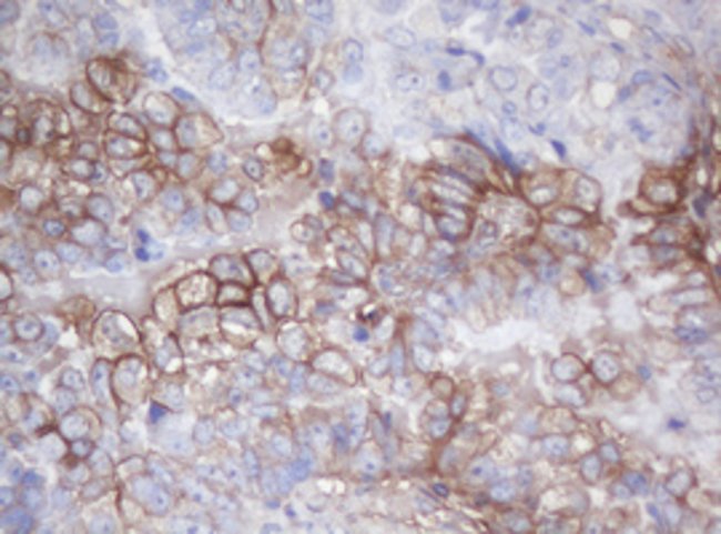
The melanoma-associated antigen (MAGE) family consists of a number of antigens recognized by cytotoxic T lymphocytes. The MAGE genes were initially isolated from different kinds of tumors and, based on their virtually exclusive tumor-specific expression in adult tissues, they have been used as targets for cancer immunotherapy. MAGE genes encode for tumor-rejection antigens that are expressed in tumors of different histologic types and in normal testis and placenta. MAGE-B18 (melanoma-associated antigen B18) is a 343 amino acid protein that contains one MAGE domain and may be involved in tumorigenesis. The gene encoding MAGE-B18 maps to human chromosome X, which contains nearly 153 million base pairs and houses over 1,000 genes.
Specifications

Specifications

MAGEB18
Monoclonal
Unconjugated
MAGEB18
MAGE family member B18
Mouse
Affinity Chromatography
RUO
286514
-20° C, Avoid Freeze/Thaw Cycles
Lyophilized
Immunohistochemistry (Paraffin), Western Blot
OTI1H2
PBS with 8% trehalose and no preservative; pH 7.3
Q96M61
MAGEB18
Full length human recombit protein of human MAGEB18 produced in HEK293T cell.
100 μg
Primary
Human
Antibody
IgG1
Product Suggestions

Product Suggestions

Videos
SDS
Documents

Documents

Certificates
Promotions

Promotions

Product Content Correction

The Fisher Scientific Encompass Program offers items which are not part of our distribution portfolio. These products typically do not have pictures or detailed descriptions. However, we are committed to improving your shopping experience. Please use the form below to provide feedback related to the content on this product.

Product Title

By clicking Submit, you acknowledge that you may be contacted by Fisher Scientific in regards to the feedback you have provided in this form. We will not share your information for any other purposes. All contact information provided shall also be maintained in accordance with our Privacy Policy.

Thank You! Your feedback has been submitted. Fisher Scientific is always working to improve our content for you. We appreciate your feedback.