missing translation for 'onlineSavingsMsg'
Learn More

MALT1 Mouse anti-Human, Clone: OTI3E10, lyophilized, TrueMAB™

Mouse Monoclonal Antibody

Brand:  Origene Technologies CF807328

Encompass_Preferred

Product Code. 17649231

  • € 726.00 / 100µg

Please to purchase this item. Need a web account? Register with us today!

This item is not returnable. View return policy

Description

Description

Reconstitute with PBS (pH 7.3) and recommend to perform another round of desalting process using Product No. 7KMWCO

MALT1/Paracaspase (MALT1) was independently identified as a member of the human paracaspase family and an interacting partner of B-cell lymphoma. MALT1 is a caspase-like protein that contains an N-terminal death domain, two Ig-like domains, and a C-terminal caspase-like domain. It binds to Bcl10 through its Ig-like domains and cooperates with Bcl10 to activate NF-kappaB.
Specifications

Specifications

MALT1
Monoclonal
Unconjugated
MALT1
IMD12, MLT, MLT1, PCASP1
Mouse
Affinity Chromatography
RUO
10892
-20° C, Avoid Freeze/Thaw Cycles
Lyophilized
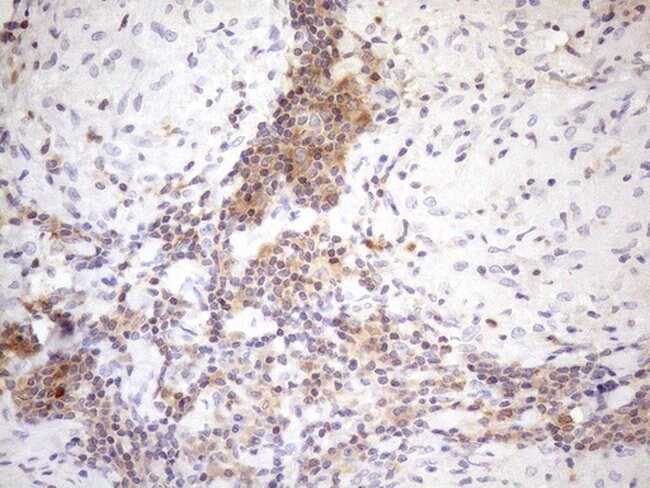
Immunohistochemistry (Paraffin)
OTI3E10
PBS with 8% trehalose and no preservative; pH 7.3
Q9UDY8
MALT1
Full length human recombit protein of human MALT1 produced in HEK293T cell.
100 μg
Primary
Human
Antibody
IgG1
Product Suggestions

Product Suggestions

Videos
SDS
Documents

Documents

Certificates
Promotions

Promotions

Product Content Correction

The Fisher Scientific Encompass Program offers items which are not part of our distribution portfolio. These products typically do not have pictures or detailed descriptions. However, we are committed to improving your shopping experience. Please use the form below to provide feedback related to the content on this product.

Product Title

By clicking Submit, you acknowledge that you may be contacted by Fisher Scientific in regards to the feedback you have provided in this form. We will not share your information for any other purposes. All contact information provided shall also be maintained in accordance with our Privacy Policy.

Thank You! Your feedback has been submitted. Fisher Scientific is always working to improve our content for you. We appreciate your feedback.