missing translation for 'onlineSavingsMsg'
Learn More

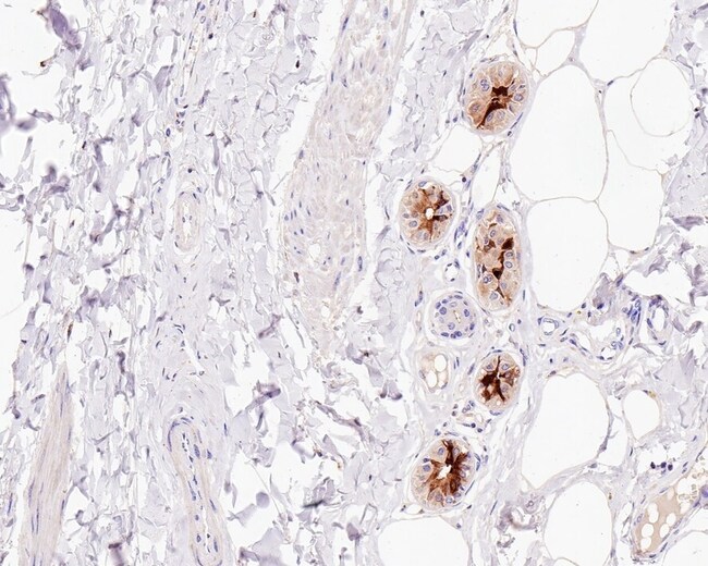
Invitrogen™ Mammaglobin A Recombinant Mouse Monoclonal Antibody (A9A2-R)

Mouse Recombinant Monoclonal Antibody

Brand:  Invitrogen™ MA550661

Product Code. 17948812

  • € 478.00 / 100µL

Please to purchase this item. Need a web account? Register with us today!

This item is not returnable. View return policy

Description

Description

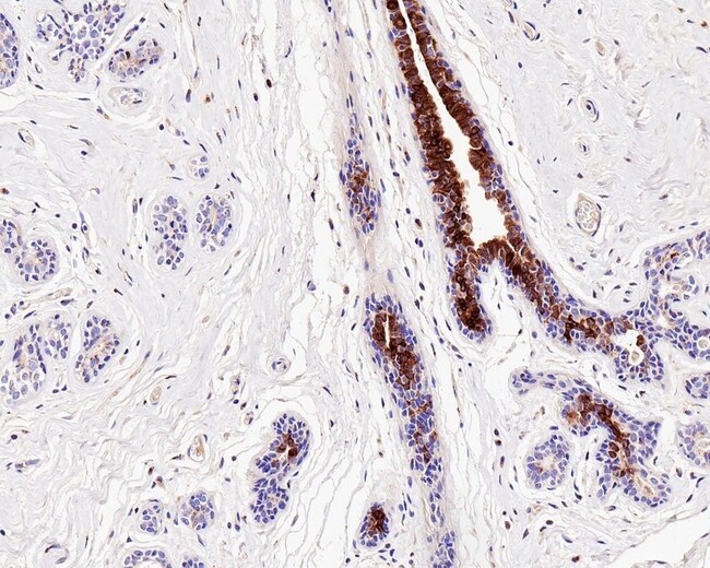
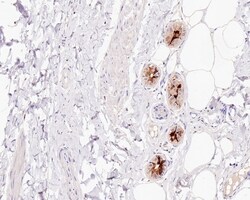
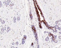
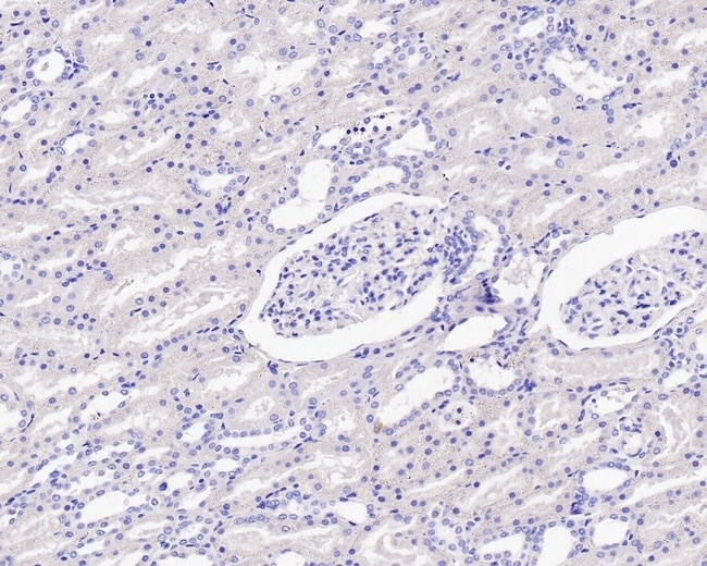
Positive control: Human skin tissue, human breast tissue. Predicted band size: 10 kDa Subcellular Location: Secreted.

Mammaglobin is a gene that is expressed almost exclusively in the normal breast epithelium and human breast cancer. It is a member of the secretoglobin gene family and forms a heterodimer with lipophilin B. It has been suggested that mammaglobin may be a useful marker for breast cancer clinical research. Studies investigating the detection of mRNA by RT PCR from circulating carcinoma cells in the peripheral blood of breast cancer patients have shown that mammaglobin is a highly specific marker and correlates with several prognostic factors, such as lymph node involvement.
TRUSTED_SUSTAINABILITY
Specifications

Specifications

Mammaglobin A
Recombinant Monoclonal
1 mg/mL
PBS with 0.1% BSA, 40% glycerol and 0.05% sodium azide; pH 7.4
Q13296
SCGB2A2
Synthetic peptide within Human Mammaglobin A aa 21-70/93.
100 μL
Primary
Human
Antibody
IgG1
Immunohistochemistry (Paraffin)
A9A2-R
Unconjugated
SCGB2A2
C3.1; HGNC:7050; mammaglobin 1; mammaglobin A; Mammaglobin-1; Mammaglobin-A; MGB1; MGC71974; prostatein; prostatein C3 subunit; prostatein peptide C3; prostatic steroid binding protein, allele C3(1); prostatic steroid-binding protein C3; Psbpc3; SCGB2A2; Secretoglobin family 2A member 2; secretoglobin, family 2A, member 2; UGB2
Mouse
Protein A
RUO
4250
Store at 4°C short term. For long term storage, store at -20°C, avoiding freeze/thaw cycles.
Liquid
Product Suggestions

Product Suggestions

Videos
SDS
Documents

Documents

Certificates
Promotions

Promotions

Product Content Correction

Your input is important to us. Please complete this form to provide feedback related to the content on this product.

Product Title

By clicking Submit, you acknowledge that you may be contacted by Fisher Scientific in regards to the feedback you have provided in this form. We will not share your information for any other purposes. All contact information provided shall also be maintained in accordance with our Privacy Policy.

Thank You! Your feedback has been submitted. Fisher Scientific is always working to improve our content for you. We appreciate your feedback.