missing translation for 'onlineSavingsMsg'
Learn More

MAP2K1 Monoclonal Antibody (OTI4H1), TrueMAB™, OriGene

Mouse Monoclonal Antibody

Brand:  Origene Technologies TA505770

Encompass_Preferred

 View more versions of this product

Product Code. 17504692

  • POA / 100µL

Please to purchase this item. Need a web account? Register with us today!

This item requires a price update prior to being ordered.

Request a Price for this item here.

View alternative products »

This item is not returnable. View return policy

Description

Description

MEK1 (mitogen activated protein kinase kinase, ERK kinase 1, microtubule-associated protein 2 kinase) is a dual specificity kinase and catalyses both a threonine and a tyrosine residue on MAP kinases ERK1 and ERK2. Mek1 is activated by phosphorylation of serine 218 and 222 residues by Raf1. It is known to be involved in the signaling during stress activate response, apoptosis and proliferative induction by cytokines. Mutations in MEK1 can lead to cardiofaciocutaneous syndrome.
Specifications

Specifications

MAP2K1
Monoclonal
1 mg/mL
PBS with 1% BSA, 50% glycerol and 0.02% sodium azide
P31938, Q01986, Q02750
MAP2K1
Full length human recombit protein of human MAP2K1 produced in HEK293T cell.
100 μL
Primary
Canine, Human, Mouse, Rat
Antibody
IgG2b
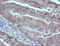
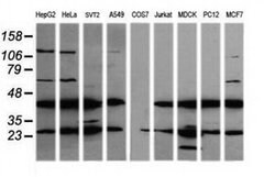
Immunocytochemistry, Immunofluorescence, Immunohistochemistry (Paraffin), Western Blot
OTI4H1
Unconjugated
MAP2K1
CFC3, MAPKK1, MEK1, MKK1, PRKMK1
Mouse
Affinity Chromatography
RUO
170851, 26395, 478347, 5604
-20° C, Avoid Freeze/Thaw Cycles
Liquid
Product Suggestions

Product Suggestions

Videos
SDS
Documents

Documents

Certificates
Promotions

Promotions

Product Content Correction

The Fisher Scientific Encompass Program offers items which are not part of our distribution portfolio. These products typically do not have pictures or detailed descriptions. However, we are committed to improving your shopping experience. Please use the form below to provide feedback related to the content on this product.

Product Title

By clicking Submit, you acknowledge that you may be contacted by Fisher Scientific in regards to the feedback you have provided in this form. We will not share your information for any other purposes. All contact information provided shall also be maintained in accordance with our Privacy Policy.

Thank You! Your feedback has been submitted. Fisher Scientific is always working to improve our content for you. We appreciate your feedback.