missing translation for 'onlineSavingsMsg'
Learn More
Learn More
Invitrogen™ MBD4 Polyclonal Antibody

Rabbit Polyclonal Antibody
Brand: Invitrogen™ PA551670
This item is not returnable.
View return policy
Description
Immunogen sequence: LQNQSNNSNW NLRTRSKCKK DVFMPPSSSS ELQESRGLSN FTSTHLLLKE DEGVDDVNFR KVRKPKGKVT ILKGIPIKKT KKGCRKSCSG FVQSDSKRES VCNKADAESE PVAQKSQLDR TVCISDAGAC GETLSVTSEE N Highest antigen sequence identity to the following orthologs: Mouse - 48%, Rat - 45%.
DNA methylation, or the addition of methyl groups to cytosine bases in the dinucleotide CpG, is imperative to proper development and regulates gene expression. The methylation pattern involves the enzymatic processes of methylation and demethylation. The demethylation enzyme was recently found to be a mammalian protein, which exhibits demethylase activity associated to a methyl-CpG-binding domain (MBD). The enzyme is able to revert methylated cytosine bases to cytosines within the particular dinucleotide sequence mdCpdG by catalyzing the cleaving of the methyl group as methanol. MeCP2 and MBD1 (PCM1) are first found to repress transcription by binding specifically to methylated DNA. MBD2 and MBD4 (also known as MED1) were later found to colocalize with foci of heavily methylated satellite DNA and believed to mediate the biological functions of the methylation signal. Surprisingly, MBD3 does not bind methylated DNA both in vivo and in vitro. MBD1, MBD2, MBD3, and MBD4 are found to be expressed in somatic tissues, but the expression of MBD1 and MBD2 is reduced or absent in embryonic stem cells, which are known to be deficient in MeCP1 activity. MBD4 have homology to bacterial base excision repair DNA N-glycosylases/lyases. In some microsatellite unstable tumors MBD4 is mutated at an exonic polynucleotide tract.
Specifications
| MBD4 | |
| Polyclonal | |
| Unconjugated | |
| MBD4 | |
| 3,N(4)-ethenocytosine glycosylase; G/5-fluorouracil mismatch glycosylase with biphasic kinetics; G/T mismatch glycosylase; G/U mismatch glycosylase; Mbd4; MED1; methyl-CpG binding domain 4 DNA glycosylase; methyl-CpG binding domain 4, DNA glycosylase; methyl-CpG binding domain protein 4; methyl-CpG-binding domain protein 4; Methyl-CpG-binding endonuclease 1; methyl-CpG-binding protein MBD4; Mismatch-specific DNA N-glycosylase; putative methyl-CpG binding protein | |
| Rabbit | |
| Antigen affinity chromatography | |
| RUO | |
| 8930 | |
| Store at 4°C short term. For long term storage, store at -20°C, avoiding freeze/thaw cycles. | |
| Liquid |
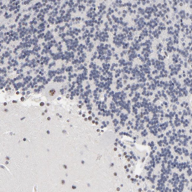
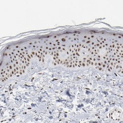
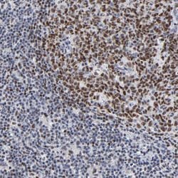
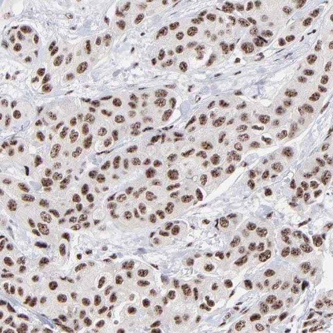
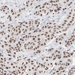
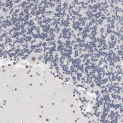
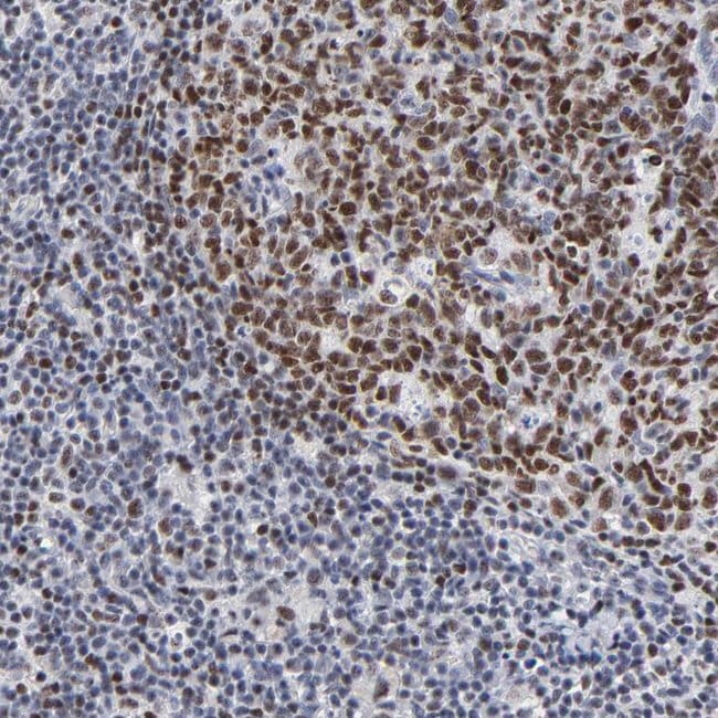
| Immunohistochemistry (Paraffin), Western Blot, Immunocytochemistry | |
| 0.1 mg/mL | |
| PBS with 40% glycerol and 0.02% sodium azide; pH 7.2 | |
| O95243 | |
| MBD4 | |
| Recombinant protein corresponding to Human MBD4. Recombinant protein control fragment (Product #RP-101998). | |
| 100 μL | |
| Primary | |
| Human | |
| Antibody | |
| IgG |
Product Content Correction
Your input is important to us. Please complete this form to provide feedback related to the content on this product.
Product Title
Spot an opportunity for improvement?Share a Content Correction