missing translation for 'onlineSavingsMsg'
Learn More
Learn More
Description
Immunogen sequence: QTTLSNLVVK GTNLIIQETR QKLGIPQKSL SCSEEFKELM DLPTCGARNL KQHLAKATAS GIMGSPKPAI KSISASALLK QQKQRMLEMR RRKSEEIQK Highest antigen sequence identity to the following orthologs: Mouse - 80%, Rat - 79%.
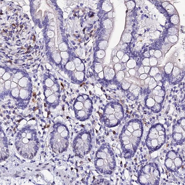
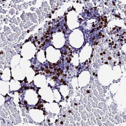
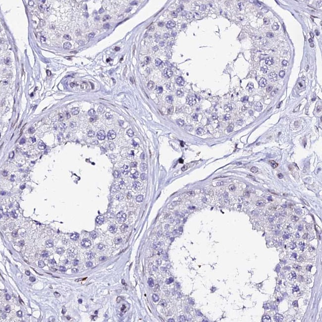
The protein encoded by this gene is one of the highly conserved mini-chromosome maintenance proteins (MCM) that are involved in the initiation of eukaryotic genome replication. The hexameric protein complex formed by MCM proteins is a key component of the pre-replication complex (pre-RC) and it may be involved in the formation of replication forks and in the recruitment of other DNA replication related proteins. This protein can interact with MCM2 and MCM6, as well as with the origin recognition protein ORC2. It is regulated by proteolysis and phosphorylation in a cell cycle-dependent manner. Studies of a similar protein in Xenopus suggest that the chromatin binding of this protein at the onset of DNA replication is after pre-RC assembly and before origin unwinding. Alternatively spliced transcript variants encoding distinct isoforms have been identified.
Specifications
Specifications
| Antigen | MCM10 |
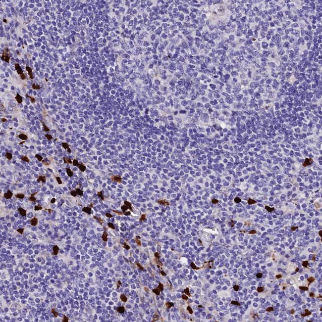
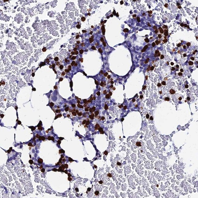
| Applications | Immunohistochemistry (Paraffin), Western Blot |
| Classification | Polyclonal |
| Concentration | 0.3 mg/mL |
| Conjugate | Unconjugated |
| Formulation | PBS with 40% glycerol and 0.02% sodium azide; pH 7.2 |
| Gene | MCM10 |
| Gene Accession No. | Q7L590 |
| Gene Alias | 2410041F14Rik; AU018508; C330019M07Rik; C79164; CNA43; DNA43; homolog of yeast MCM10; hsMCM10; Mcm10; MCM10 minichromosome maintenance deficient 10; MGC126776; minichromosome maintenance 10 replication initiation factor; minichromosome maintenance complex component 10; minichromosome maintenance deficient 10; minichromosome maintenance deficient 10 (S. cerevisiae); PRO2249; Protein MCM10 homolog |
| Gene Symbols | MCM10 |
| Show More |
Product Title
By clicking Submit, you acknowledge that you may be contacted by Fisher Scientific in regards to the feedback you have provided in this form. We will not share your information for any other purposes. All contact information provided shall also be maintained in accordance with our Privacy Policy.
Spot an opportunity for improvement?
