missing translation for 'onlineSavingsMsg'
Learn More

MCM2 Mouse anti-Human, Clone: OTI1B1, lyophilized, TrueMAB™

Mouse Monoclonal Antibody

Brand:  Origene Technologies CF805784

Encompass_Preferred

Product Code. 17638571

  • POA / 100µg

Please to purchase this item. Need a web account? Register with us today!

This item requires a price update prior to being ordered.

Request a Price for this item here.

View alternative products »

This item is not returnable. View return policy

Description

Description

Reconstitute with PBS (pH 7.3) and recommend to perform another round of desalting process using Product No. 7KMWCO

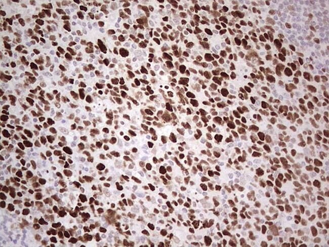
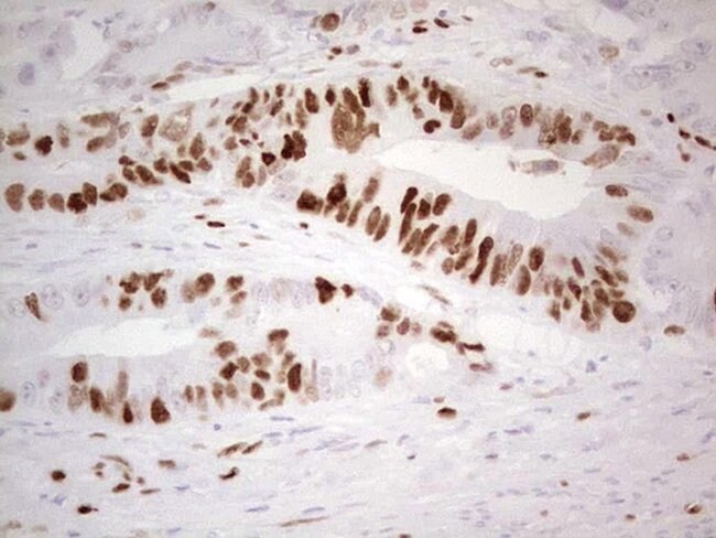
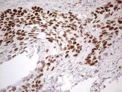
MCM2 (Mini chromosome maintece protein 2) is involved in regulating DNA replication. MCM2 (also called CDCL1, mitotin and BM28), is a human nuclear protein that is crucial in the cell cycle, being involved in the onset of DNA replication and cell division. It is similar to members of the family of early S-phase proteins. MCM2 has been mapped to 3q21. From its localization, CDCL1 became a candidate for an oncogene affected by chromosomal breaks in acute myeloid leukemia (AML).
Specifications

Specifications

MCM2
Monoclonal
Unconjugated
MCM2
BM28, CCNL1, CDCL1, D3S3194, DFNA70, MITOTIN, cdc19
Mouse
Affinity Chromatography
RUO
4171
-20° C, Avoid Freeze/Thaw Cycles
Lyophilized
Immunohistochemistry (Paraffin)
OTI1B1
PBS with 8% trehalose and no preservative; pH 7.3
P49736
MCM2
Full length human recombit protein of human MCM2 produced in HEK293T cell.
100 μg
Primary
Human
Antibody
IgG1
Product Suggestions

Product Suggestions

Videos
SDS
Documents

Documents

Certificates
Promotions

Promotions

Product Content Correction

The Fisher Scientific Encompass Program offers items which are not part of our distribution portfolio. These products typically do not have pictures or detailed descriptions. However, we are committed to improving your shopping experience. Please use the form below to provide feedback related to the content on this product.

Product Title

By clicking Submit, you acknowledge that you may be contacted by Fisher Scientific in regards to the feedback you have provided in this form. We will not share your information for any other purposes. All contact information provided shall also be maintained in accordance with our Privacy Policy.

Thank You! Your feedback has been submitted. Fisher Scientific is always working to improve our content for you. We appreciate your feedback.