Learn More
Invitrogen™ MCM3 Polyclonal Antibody

Rabbit Polyclonal Antibody
Brand: Invitrogen™ PA579646
Description
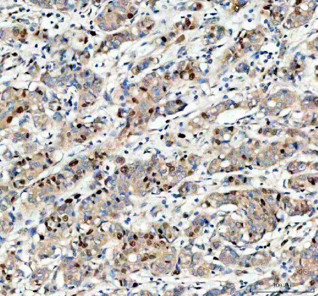
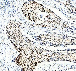
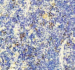
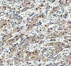
Reconstitute with 0.2 mL of distilled water to yield a concentration of 500 μg/mL. Positive Control - WB: human Hela whole cell, human K562 whole cell, human Raji whole cell, rat thymus tissue, rat C6 whole cell, mouse thymus tissue, mouse NIH/3T3 whole cell. IHC: human cervical cancer tissue, human breast cancer tissue, rat spleen tissue. ICC/IF: Hela cell. Flow: Hela cell.
The protein encoded by this gene is one of the highly conserved mini-chromosome maintenance proteins (MCM) that are involved in the initiation of eukaryotic genome replication. The hexameric protein complex formed by MCM proteins is a key component of the pre-replication complex (pre_RC) and may be involved in the formation of replication forks and in the recruitment of other DNA replication related proteins. This protein is a subunit of the protein complex that consists of MCM2-7. It has been shown to interact directly with MCM5/CDC46. This protein also interacts with, and thus is acetlyated by MCM3AP, a chromatin-associated acetyltransferase. The acetylation of this protein inhibits the initiation of DNA replication and cell cycle progression.
Specifications
| MCM3 | |
| Polyclonal | |
| Unconjugated | |
| MCM3 | |
| AL033361; C80350; cervical cancer proto-oncogene 5; DNA polymerase alpha holoenzyme-associated protein P1; DNA replication factor MCM3; DNA replication licensing factor MCM3; HCC5; hRlf beta subunit; MCM3; MCM3 minichromosome maintenance deficient 3; Mcmd; Mcmd3; MGC1157; mini chromosome maintenance deficient; minichromosome maintenance complex component 3; minichromosome maintenance deficient 3; minichromosome maintenance deficient 3 (S. cerevisiae); P1; P1.h; p1.m; p102; P1-MCM3; replication licensing factor, beta subunit; RLF subunit beta; RLFB; RP1-108C2.3 | |
| Rabbit | |
| Antigen affinity chromatography | |
| RUO | |
| 17215, 316273, 4172 | |
| -20°C | |
| Lyophilized |
| Flow Cytometry, Immunohistochemistry (Paraffin), Western Blot, Immunocytochemistry | |
| 500 μg/mL | |
| PBS with 4mg trehalose and no preservative | |
| P25205, P25206 | |
| MCM3 | |
| A synthetic peptide corresponding to a sequence at the N-terminus of human MCM3 (13-27aa REAQRDYLDFLDDEE). | |
| 100 μg | |
| Primary | |
| Human, Mouse, Rat | |
| Antibody | |
| IgG |
Dit input er vigtigt for os. Udfyld denne formular for at give feedback relateret til indholdet på dette produkt.