missing translation for 'onlineSavingsMsg'
Learn More

Invitrogen™ MDP1 Polyclonal Antibody

Rabbit Polyclonal Antibody

Brand:  Invitrogen™ PA551812

Product Code. 15709770

  • € 582.00 / 100µL

Please to purchase this item. Need a web account? Register with us today!

This item is not returnable. View return policy

Description

Description

Immunogen sequence: PKLAVFDLDY TLWPFWVDTH VDPPFHKSSD GTVRDRRGQD VRLYPEVPEV LKRLQSLGVP GAAASRTSEI EGANQLLELF DLFRYFVHRE IYPGSKITHF ERLQQKTGIP FSQMIFFDDE RRNIVDVSKL GVTCIHIQNG MNLQT Highest antigen sequence identity to the following orthologs: Mouse - 85%, Rat - 88%.

Magnesium-dependent phosphatase which may act as a tyrosine phosphatase.
TRUSTED_SUSTAINABILITY
Specifications

Specifications

MDP1
Polyclonal
Unconjugated
MDP1
1810034K20Rik; AI035604; FN6PASE; fructosamine-6-phosphatase; magnesium dependent phosphatase 1; magnesium-dependent phosphatase 1; MDP1; MDP-1; RGD1311147
Rabbit
Antigen affinity chromatography
RUO
145553
Store at 4°C short term. For long term storage, store at -20°C, avoiding freeze/thaw cycles.
Liquid
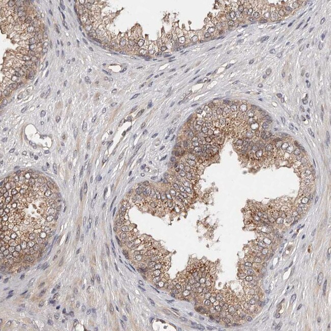
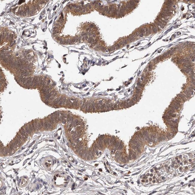
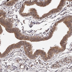
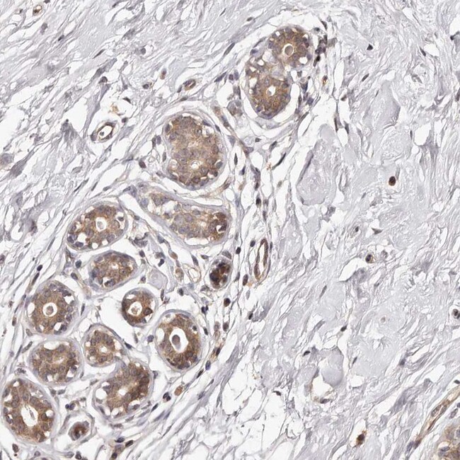
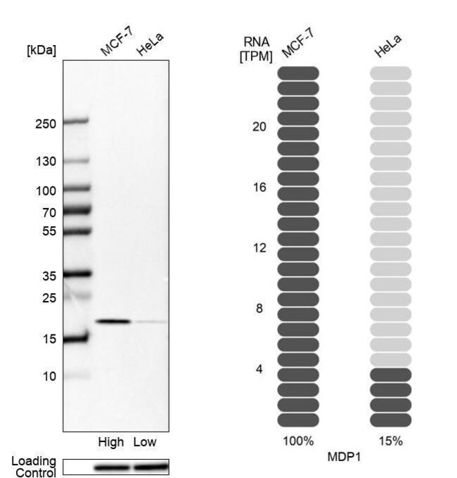
Immunohistochemistry (Paraffin), Western Blot, Immunocytochemistry
0.2 mg/mL
PBS with 40% glycerol and 0.02% sodium azide; pH 7.2
Q86V88
MDP1
Recombinant protein corresponding to Human MDP1. Recombinant protein control fragment (Product #RP-89041).
100 μL
Primary
Human
Antibody
IgG
Product Suggestions

Product Suggestions

Videos
SDS
Documents

Documents

Certificates
Promotions

Promotions

Product Content Correction

Your input is important to us. Please complete this form to provide feedback related to the content on this product.

Product Title

By clicking Submit, you acknowledge that you may be contacted by Fisher Scientific in regards to the feedback you have provided in this form. We will not share your information for any other purposes. All contact information provided shall also be maintained in accordance with our Privacy Policy.

Thank You! Your feedback has been submitted. Fisher Scientific is always working to improve our content for you. We appreciate your feedback.