missing translation for 'onlineSavingsMsg'
Learn More

MEX3D Antibody, Novus Biologicals™

Product Code. 18676695 Shop All Bio Techne Products
Change view
Click to view available options
Quantity:
0.1 mL
25 μL
Unit Size:
0.1mL
25µL
2 product options available for selection
Product selection table with 2 available options. Use arrow keys to navigate and Enter or Space to select.
Product Code. Quantity unitSize
18676695 25 μL 25µL
18196878 0.1 mL 0.1mL
Use arrow keys to navigate between rows. Press Enter or Space to select a product option. 2 options available.
2 options
This item is not returnable. View return policy
Product Code. 18676695 Supplier Novus Biologicals Supplier No. NBP23905625ul

Please to purchase this item. Need a web account? Register with us today!

This item is not returnable. View return policy

Rabbit Polyclonal Antibody

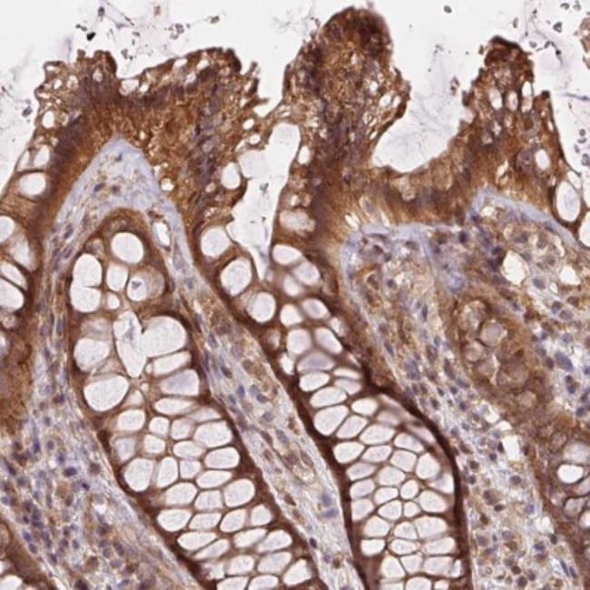
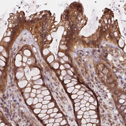
MEX3D Polyclonal specifically detects MEX3D in Human samples. It is validated for Immunohistochemistry, Immunohistochemistry-Paraffin.
TRUSTED_SUSTAINABILITY

Specifications

Antigen MEX3D
Applications Immunohistochemistry, Immunohistochemistry (Paraffin)
Classification Polyclonal
Conjugate Unconjugated
Dilution Immunohistochemistry, Immunohistochemistry-Paraffin 1:50 - 1:200
Formulation PBS (pH 7.2) and 40% Glycerol with 0.02% Sodium Azide
Gene Accession No. Q86XN8
Gene Alias KIAA2031Tino, mex-3 homolog D (C. elegans), OK/SW-cl.4, ring finger (C3HC4 type) and KH domain containing 1, ring finger and KH domain containing 1, RING finger and KH domain-containing protein 1, RING finger protein 193, RKHD1MEX3, RNA-binding protein MEX3D, RNF193MEX-3D, TINObcl-2 ARE RNA binding protein
Gene Symbols MEX3D
Host Species Rabbit
Immunogen This antibody was developed against a recombinant protein corresponding to amino acids: DVFAGFAPHPAALGPPTLLADQMSVICGRKK
Purification Method Affinity Purified
Quantity 25 μL
Regulatory Status RUO
Research Discipline Zinc Finger
Primary or Secondary Primary
Gene ID (Entrez) 399664
Test Specificity Specificity of antibody verified on a Protein Array containing target protein plus 383 other non-specific proteins.
Target Species Human
Content And Storage Store at 4°C short term. Aliquot and store at-20°C long term. Avoid freeze/thaw cycles.
Isotype IgG
Show More Show Less
Product Title
Select an issue

By clicking Submit, you acknowledge that you may be contacted by Fisher Scientific in regards to the feedback you have provided in this form. We will not share your information for any other purposes. All contact information provided shall also be maintained in accordance with our Privacy Policy.