missing translation for 'onlineSavingsMsg'
Learn More

MICAL1 Mouse anti-Human, Clone: OTI1C2, lyophilized, TrueMAB™

Mouse Monoclonal Antibody

Brand:  Origene Technologies CF501841

Encompass_Preferred

Product Code. 17691811

  • POA / 100µg

Please to purchase this item. Need a web account? Register with us today!

This item requires a price update prior to being ordered.

Request a Price for this item here.

View alternative products »

This item is not returnable. View return policy

Description

Description

Reconstitute with PBS (pH 7.3) and recommend to perform another round of desalting process using Product No. 7KMWCO

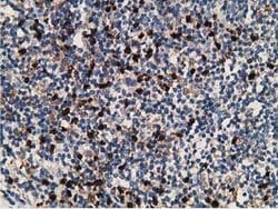
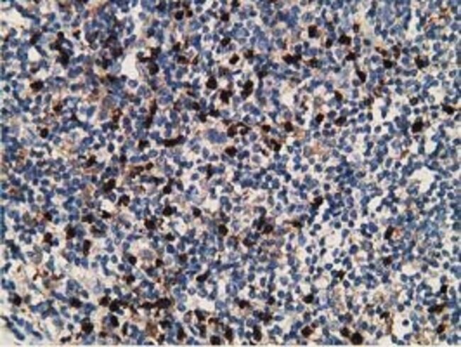
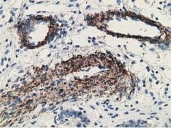
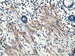
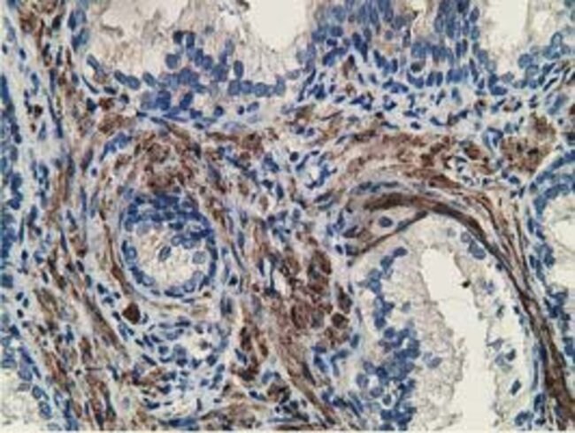
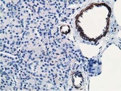
May be a cytoskeletal regulator that connects NEDD9 to intermediate filaments.
Specifications

Specifications

MICAL1
Monoclonal
Unconjugated
MICAL1
MICAL, MICAL-1, NICAL
Mouse
Affinity Chromatography
RUO
64780
-20° C, Avoid Freeze/Thaw Cycles
Lyophilized
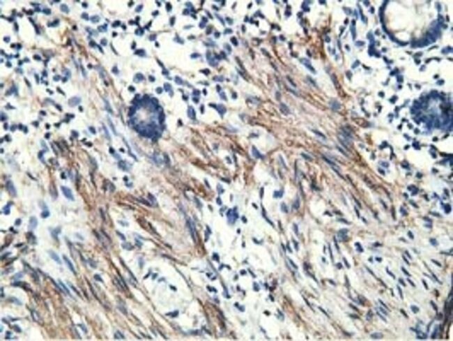
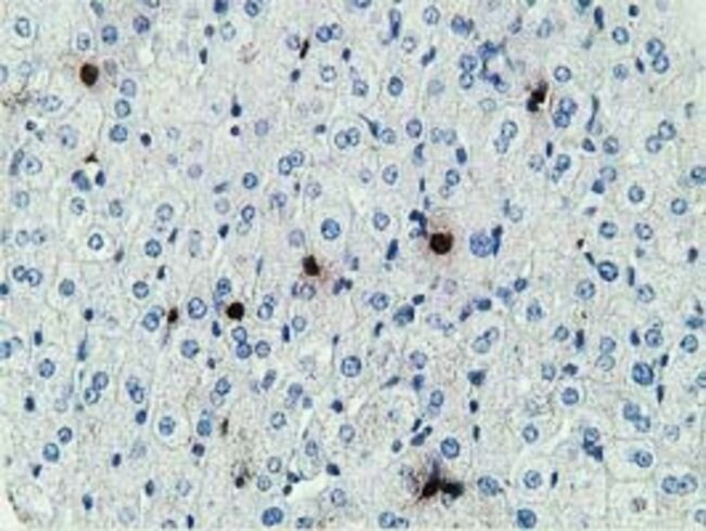
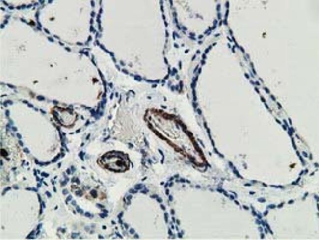
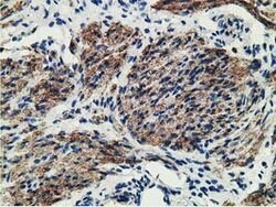
Flow Cytometry, Immunohistochemistry (Paraffin), Western Blot
OTI1C2
PBS with 8% trehalose and no preservative; pH 7.3
Q8TDZ2
MICAL1
Full length human recombit protein of human MICAL1 produced in HEK293T cell.
100 μg
Primary
Human
Antibody
IgG1
Product Suggestions

Product Suggestions

Videos
SDS
Documents

Documents

Certificates
Promotions

Promotions

Product Content Correction

The Fisher Scientific Encompass Program offers items which are not part of our distribution portfolio. These products typically do not have pictures or detailed descriptions. However, we are committed to improving your shopping experience. Please use the form below to provide feedback related to the content on this product.

Product Title

By clicking Submit, you acknowledge that you may be contacted by Fisher Scientific in regards to the feedback you have provided in this form. We will not share your information for any other purposes. All contact information provided shall also be maintained in accordance with our Privacy Policy.

Thank You! Your feedback has been submitted. Fisher Scientific is always working to improve our content for you. We appreciate your feedback.