missing translation for 'onlineSavingsMsg'
Learn More

GSK3A Mouse anti-Human, Clone: 6G2F1, Abnova™

Mouse monoclonal antibody raised against partial recombinant GSK3A.

Brand:  Abnova MAB10671.100uL

Product Code. 16020446

  • € 624.00 / 100µL

Please to purchase this item. Need a web account? Register with us today!

This item is not returnable. View return policy

Description

Description

Glycogen synthase kinase 3-alpha (GSK3A; EC {2.7.1.37}) is a multifunctional protein serine kinase, homologous to Drosophila 'shaggy' (zeste-white3) and implicated in the control of several regulatory proteins including glycogen synthase (see GYS1, {138570}) and transcription factors (e.g., JUN, {165160}). It also plays a role in the WNT ({164820}) and PI3K (see PIK3CG, {601232}) signaling pathways (see review by {1:Ali et al. (2001)}).[supplied by OMIM

Specifications

Specifications

GSK3A
Monoclonal
Unconjugated
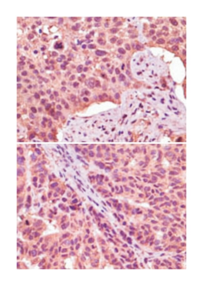
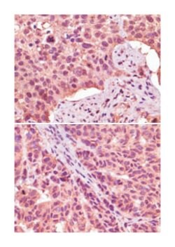
ELISA (1:10000) Western Blot (1:500-1:2000) Immunohistochemistry (1:200-1:1000) The optimal working dilution should be determined by the end user.
GSK3A
GSK3A
Recombinant protein corresponding to human GSK3A.
RUO
2931
Store at 4°C. For long term storage store at -20°C.
Aliquot to avoid repeated freezing and thawing.
ELISA, Immunohistochemistry, Western Blot
6G2F1, 6G2F2
Mouse monoclonal antibody raised against partial recombinant GSK3A.
In ascites (0.03% sodium azide)
DKFZp686D0638
Mouse
100 μL
Primary
Human
Liquid
Product Suggestions

Product Suggestions

Videos
SDS
Documents

Documents

Certificates
Promotions

Promotions

Product Content Correction

Your input is important to us. Please complete this form to provide feedback related to the content on this product.

Product Title

By clicking Submit, you acknowledge that you may be contacted by Fisher Scientific in regards to the feedback you have provided in this form. We will not share your information for any other purposes. All contact information provided shall also be maintained in accordance with our Privacy Policy.

Thank You! Your feedback has been submitted. Fisher Scientific is always working to improve our content for you. We appreciate your feedback.