missing translation for 'onlineSavingsMsg'
Learn More

NOS3, Mouse, Clone: 6H2, Abnova™

Product Code. 16040586
Change view
Click to view available options
Quantity:
100 μL
Unit Size:
100µL
1 product options available for selection
Product selection table with 1 available options. Use arrow keys to navigate and Enter or Space to select.
Product Code. Quantity unitSize
16040586 100 μL 100µL
Use arrow keys to navigate between rows. Press Enter or Space to select a product option. 1 options available.
1 options
This item is not returnable. View return policy
Product Code. 16040586 Supplier Abnova Supplier No. MAB10834.100uL

Please to purchase this item. Need a web account? Register with us today!

This item is not returnable. View return policy

Mouse monoclonal antibody raised against partial recombinant NOS3.

Nitric oxide is a reactive free radical which acts as a biologic mediator in several processes, including neurotransmission and antimicrobial and antitumoral activities. Nitric oxide is synthesized from L-arginine by nitric oxide synthases. Variations in this gene are associated with susceptibility to coronary spasm. Multiple transcript variants encoding different isoforms have been found for this gene. [provided by RefSeq

Specifications

Antigen NOS3
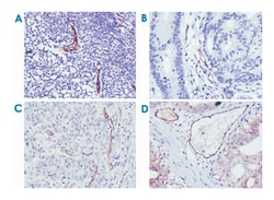
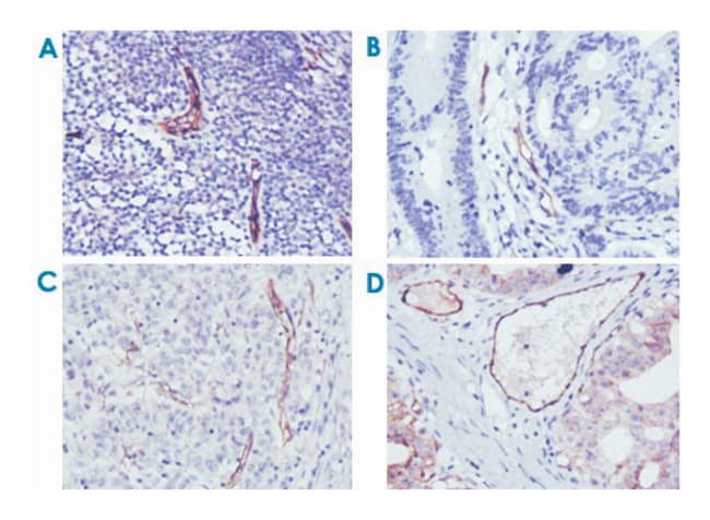
Applications ELISA, Immunohistochemistry
Classification Monoclonal
Clone 6H2
Conjugate Unconjugated
Description Mouse monoclonal antibody raised against partial recombinant NOS3.
Dilution ELISA (1:10000) Immunohistochemistry (1:200-1:1000) The optimal working dilution should be determined by the end user.
Formulation In ascites (0.03% sodium azide)
Gene NOS3
Gene Alias ECNOS/eNOS
Gene Symbols NOS3
Host Species Mouse
Immunogen Recombinant protein corresponding to human NOS3.
Quantity 100 μL
Regulatory Status RUO
Primary or Secondary Primary
Gene ID (Entrez) 4846
Target Species Human
Content And Storage Store at 4°C. For long term storage store at -20°C.
Aliquot to avoid repeated freezing and thawing.
Form Liquid
Isotype IgG1
Show More Show Less
Product Title
Select an issue

By clicking Submit, you acknowledge that you may be contacted by Fisher Scientific in regards to the feedback you have provided in this form. We will not share your information for any other purposes. All contact information provided shall also be maintained in accordance with our Privacy Policy.