missing translation for 'onlineSavingsMsg'
Learn More

MSLN Mouse anti-Human, Clone: OTI1G8, lyophilized, TrueMAB™

Mouse Monoclonal Antibody

Brand:  Origene Technologies CF805169

Encompass_Preferred

Product Code. 17658311

  • € 726.00 / 100µg

Please to purchase this item. Need a web account? Register with us today!

This item is not returnable. View return policy

Description

Description

Reconstitute with PBS (pH 7.3) and recommend to perform another round of desalting process using Product No. 7KMWCO

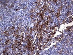
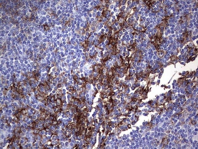
Mesothelin is a glycocylphosphotidylianositol-linked cell-surface glycoprotein that is present on the surface of normal mesothelium and is overexpressed in epithelial ovarian cancer and maligt mesotheliomas.
Specifications

Specifications

MSLN
Monoclonal
Unconjugated
MSLN
MPF, SMRP
Mouse
Affinity Chromatography
RUO
10232
-20° C, Avoid Freeze/Thaw Cycles
Lyophilized
Immunohistochemistry (Paraffin), Western Blot
OTI1G8
PBS with 8% trehalose and no preservative; pH 7.3
Q13421
MSLN
Human recombit protein fragment corresponding to amino acids 270-493 of human MSLN produced in E.coli.
100 μg
Primary
Human
Antibody
IgG1
Product Suggestions

Product Suggestions

Videos
SDS
Documents

Documents

Certificates
Promotions

Promotions

Product Content Correction

The Fisher Scientific Encompass Program offers items which are not part of our distribution portfolio. These products typically do not have pictures or detailed descriptions. However, we are committed to improving your shopping experience. Please use the form below to provide feedback related to the content on this product.

Product Title

By clicking Submit, you acknowledge that you may be contacted by Fisher Scientific in regards to the feedback you have provided in this form. We will not share your information for any other purposes. All contact information provided shall also be maintained in accordance with our Privacy Policy.

Thank You! Your feedback has been submitted. Fisher Scientific is always working to improve our content for you. We appreciate your feedback.