missing translation for 'onlineSavingsMsg'
Learn More
Learn More
Invitrogen™ MSRA Monoclonal Antibody (C6), Invitrogen™

Mouse Monoclonal Antibody
Brand: Invitrogen™ MA550973
This item is not returnable.
View return policy
Description
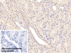
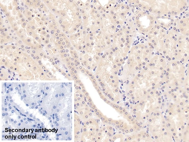
Methionine sulfoxide reductase (MsrA) reduces methionine sulfoxide (MetO) residues in proteins and free MetO to Methionine (Met). The catalytic activity of MsrA is dependent of bound metal and cofactors but it requires reducing equivalents from either DTT or a thioredoxin-regenerating system. MsrA plays an essential role in protecting cells against oxidative damage. The substrates of MsrA include calmodulin, HIV protease and a 1-proteinase-inhibitor. Recent studies indicate that there is a connection between MsrA and Alzheimer's disease in mammals.
Specifications
| MSRA | |
| Monoclonal | |
| 1 mg/mL | |
| PBS with 50% glycerol and 0.05% Proclin 300; pH 7.4 | |
| Q923M1, Q9UJ68 | |
| Msra | |
| Recombinant Human MSRA protein, Ala27-Lys235 (Accession #Q9UJ68). | |
| 200 μL | |
| Primary | |
| Human, Pig, Rat | |
| Antibody | |
| IgG1 κ |
| Immunohistochemistry (Paraffin), Western Blot, Western Blot | |
| C6 | |
| Unconjugated | |
| Msra | |
| 2310045J23Rik; 6530413P12Rik; cytosolic methionine-S-sulfoxide reductase; methionine sulfoxide reductase A; mitochondrial peptide methionine sulfoxide reductase; Msra; MSR-A; peptide met (O) reductase; peptide Met(O) reductase; peptide methionine sulfoxide reductase; peptide-methionine (S)-S-oxide reductase; PMSR; protein-methionine-S-oxide reductase | |
| Mouse | |
| Protein A/G | |
| RUO | |
| 100152960, 29447, 4482 | |
| Store at 4°C short term. For long term storage, store at -20°C, avoiding freeze/thaw cycles. | |
| Liquid |
Product Content Correction
Your input is important to us. Please complete this form to provide feedback related to the content on this product.
Product Title
Spot an opportunity for improvement?Share a Content Correction