missing translation for 'onlineSavingsMsg'
Learn More

MTRF1L Mouse anti-Human, Clone: OTI2B5, liquid, TrueMAB™

Mouse Monoclonal Antibody

Brand:  Origene Technologies TA501067

Encompass_Preferred

Product Code. 17593191

  • € 540.87 / 100µL

Please to purchase this item. Need a web account? Register with us today!

This item is not returnable. View return policy

Description

Description

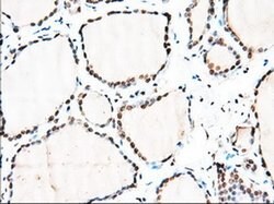
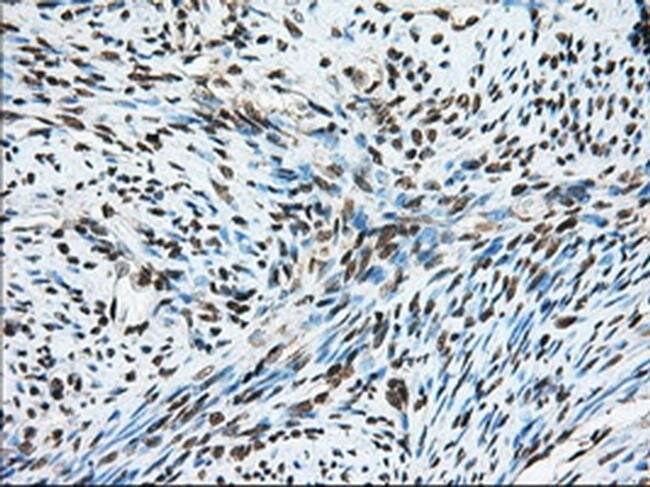
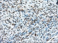
Mitochondrial peptide chain release factor that directs the termination of translation in response to the peptide chain termination codons UAA and UAG.
Specifications

Specifications

MTRF1L
Monoclonal
1 mg/mL
PBS with 1% BSA, 50% glycerol and 0.02% sodium azide
Q9UGC7
MTRF1L
Full length human recombit protein of human MTRF1L produced in HEK293T cell.
100 μL
Primary
Human
Antibody
IgG2b
Flow Cytometry, Immunocytochemistry, Immunofluorescence, Immunohistochemistry (Paraffin), Western Blot
OTI2B5
Unconjugated
MTRF1L
HMRF1L, MRF1L, mtRF1a
Mouse
Affinity Chromatography
RUO
54516
-20° C, Avoid Freeze/Thaw Cycles
Liquid
Product Suggestions

Product Suggestions

Videos
SDS
Documents

Documents

Certificates
Promotions

Promotions

Product Content Correction

The Fisher Scientific Encompass Program offers items which are not part of our distribution portfolio. These products typically do not have pictures or detailed descriptions. However, we are committed to improving your shopping experience. Please use the form below to provide feedback related to the content on this product.

Product Title

By clicking Submit, you acknowledge that you may be contacted by Fisher Scientific in regards to the feedback you have provided in this form. We will not share your information for any other purposes. All contact information provided shall also be maintained in accordance with our Privacy Policy.

Thank You! Your feedback has been submitted. Fisher Scientific is always working to improve our content for you. We appreciate your feedback.