Learn More
Invitrogen™ MYH7 Recombinant Rabbit Monoclonal Antibody (PSH07-54)

Rabbit Recombinant Monoclonal Antibody
Brand: Invitrogen™ MA560180
Description
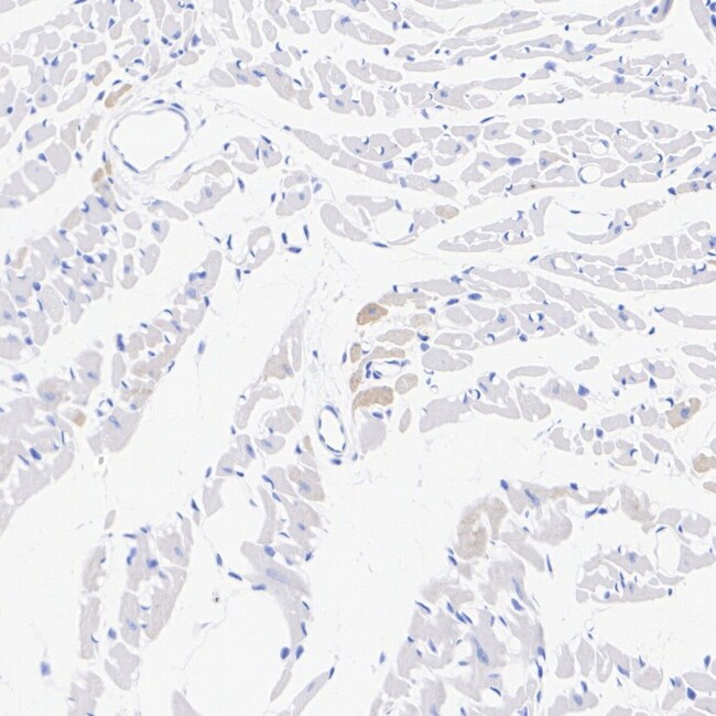
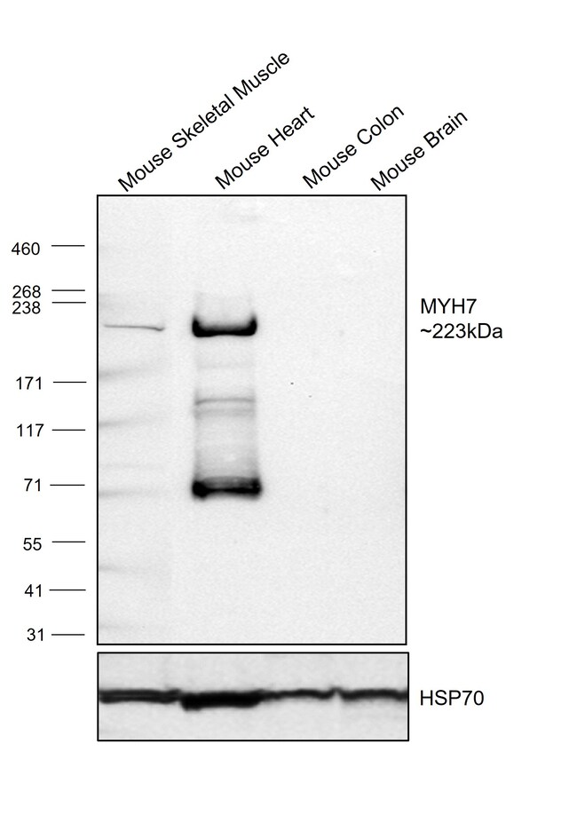
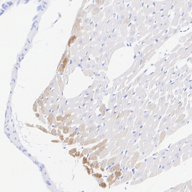
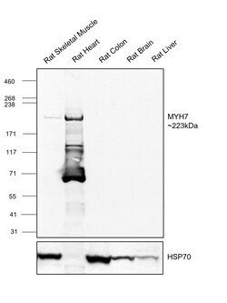
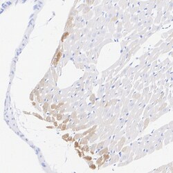
Positive Control: Rat skeletal muscle tissue lysate, human heart tissue, mouse skeletal muscle tissue, rat skeletal muscle tissue, mouse heart tissue, rat heart tissue. Tissue Specificity: Group enriched (heart muscle, skeletal muscle, tongue). Subcellular Location: Cytoplasm, myofibril, sarcomere. Sequence Similarities: 92% Mouse/Rat. Predicted band size: 223 kDa.
Muscle myosin is a hexameric protein containing 2 heavy chain subunits, 2 alkali light chain subunits, and 2 regulatory light chain subunits. This gene encodes the beta (or slow) heavy chain subunit of cardiac myosin. It is expressed predominantly in normal human ventricle. It is also expressed in skeletal muscle tissues rich in slow-twitch type I muscle fibers. Changes in the relative abundance of this protein and the alpha (or fast) heavy subunit of cardiac myosin correlate with the contractile velocity of cardiac muscle. Its expression is also altered during thyroid hormone depletion and hemodynamic overloading. Mutations in this gene are associated with familial hypertrophic cardiomyopathy, myosin storage myopathy, dilated cardiomyopathy, and Laing early-onset distal myopathy.
Specifications
| MYH7 | |
| Recombinant Monoclonal | |
| 1 mg/mL | |
| PBS with 0.1% BSA, 40% glycerol and 0.05% sodium azide; pH 7.4 | |
| P02564, P12883, Q91Z83 | |
| Myh7 | |
| Synthetic peptide within human MYH7 aa 1,250-1,300. | |
| 100 μL | |
| Primary | |
| Human, Mouse, Rat | |
| Antibody | |
| IgG |
| Immunohistochemistry (Frozen), Immunohistochemistry (Paraffin), Western Blot | |
| PSH07-54 | |
| Unconjugated | |
| Myh7 | |
| beta cardiac myosin heavy chain; beta myosin heavy chain; beta-MHC; beta-myosin; beta-myosin heavy chain; beta-myosin-heavy-chain; B-MHC; cardiac muscle myosin heavy chain 7 beta; cardiac myosin heavy chain beta isoform; CMD1S; CMH1; LOC100727138; mg:cb02g011; MPD1; Myh7; MYH-beta/slow; MyHC-alpha; Myhcb; Myhc-b; myHC-beta; MyHC-I; MyHC-slow; myopathy, distal 1; myosin beta heavy chain; myosin heavy chain 1; myosin heavy chain 7; myosin heavy chain cardiac alpha; myosin heavy chain polypeptide 7 cardiac muscle fetal; myosin heavy chain slow; myosin heavy chain slow isoform; myosin heavy chain slow type 1 (beta cardiac); myosin heavy chain, cardiac muscle beta isoform; myosin heavy chain, cardiac muscle, fetal; myosin heavy chain, polypeptide 7; myosin, heavy chain 7, cardiac muscle, beta; myosin, heavy polypeptide 7, cardiac muscle, beta; myosin-7; rhabdomyosarcoma antigen MU-RMS-40.7A; slow myosin heavy chain; smyhc3; SPMD; SPMM; type slow/beta myosin heavy chain; Unknown (protein for IMAGE:7985957); ventricular myosin heavy chain; vmhc | |
| Rabbit | |
| Protein A | |
| RUO | |
| 140781, 29557, 4625 | |
| Store at 4°C short term. For long term storage, store at -20°C, avoiding freeze/thaw cycles. | |
| Liquid |
Your input is important to us. Please complete this form to provide feedback related to the content on this product.