missing translation for 'onlineSavingsMsg'
Learn More
Learn More
Invitrogen™ MYST1 Recombinant Rabbit Monoclonal Antibody (6U5Z6)

Rabbit Recombinant Monoclonal Antibody
Brand: Invitrogen™ MA538064
This item is not returnable.
View return policy
Description
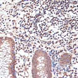
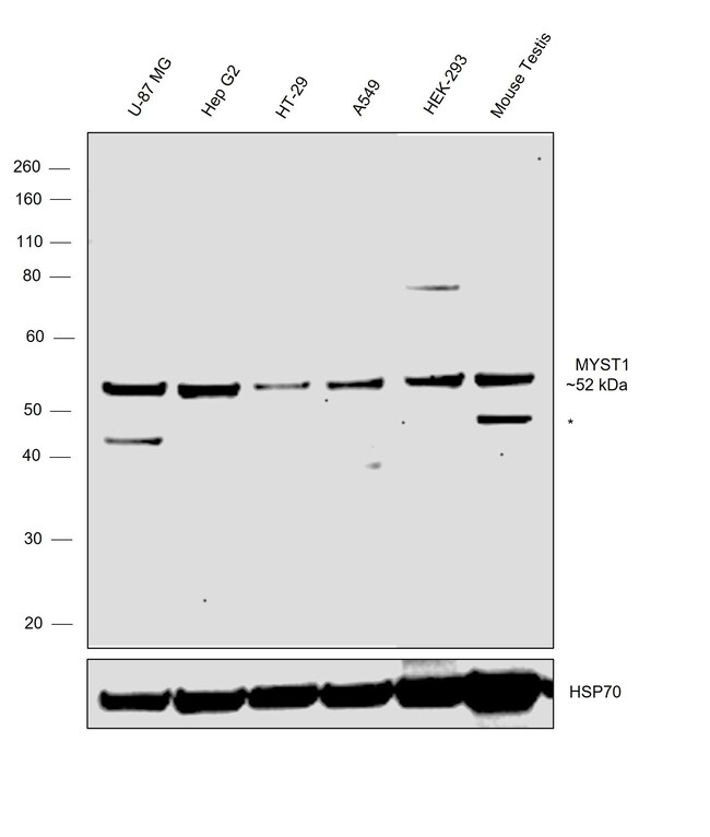
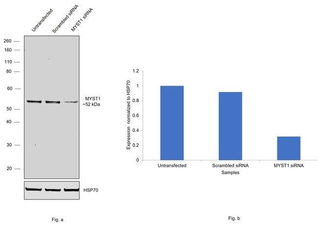
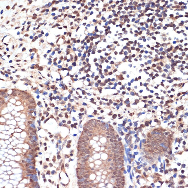
Positive Samples: HepG2, MCF7, NIH/3T3 Immunogen sequence: EKPLSDLGKL SYRSYWSWVL LEILRDFRGT LSIKDLSQMT SITQNDIIST LQSLNMVKYW KGQHVICVTP KLVEEHLKSA QYKKPPITVD SVCLKWAPPK HKQVKLSKK.
The MYST family of histone acetyltransferases, which includes MYST1, is named for the founding members MOZ (MYST3), yeast YBF2 and SAS2, and TIP60 (HTATIP). All members of this family contain a MYST region of about 240 amino acids with a canonical acetyl-CoA-binding site and a C2HC-type zinc finger motif. Most MYST proteins also have a chromodomain involved in protein-protein interactions and targeting transcriptional regulators to chromatin.
Specifications
| MYST1 | |
| Recombinant Monoclonal | |
| 1.5 mg/mL | |
| PBS with 0.05% BSA, 50% glycerol and 0.02% sodium azide; pH 7.3 | |
| Q9D1P2, Q9H7Z6 | |
| KAT8 | |
| Recombinant fusion protein containing a sequence corresponding to amino acids 350-458 of human KAT8/MYST1/MOF (Q9H7Z6). | |
| 100 μL | |
| Primary | |
| Human, Mouse | |
| Antibody | |
| IgG |
| ELISA, Immunohistochemistry (Paraffin), Western Blot, Immunocytochemistry | |
| 6U5Z6 | |
| Unconjugated | |
| KAT8 | |
| 2010203C02Rik; 5830450F21Rik; D7Ertd629e; h FLJ14040; Histone acetyltransferase KAT8; histone acetyltransferase Myst1; hMOF; K (lysine) acetyltransferase 8; K(lysine) acetyltransferase 8; Kat8; Lysine acetyltransferase 8; MOF; MOZ, YBF2/SAS3, SAS2 and TIP60 protein 1; MYST histone acetyltransferase 1; MYST protein 1; MYST1; MYST-1; ortholog of Drosophila males absent on the first (MOF); PP7073; probable histone acetyltransferase MYST1; ZC2HC8 | |
| Rabbit | |
| Affinity chromatography | |
| RUO | |
| 67773, 84148 | |
| -20°C, Avoid Freeze/Thaw Cycles | |
| Liquid |
Product Content Correction
Your input is important to us. Please complete this form to provide feedback related to the content on this product.
Product Title
Spot an opportunity for improvement?Share a Content Correction