missing translation for 'onlineSavingsMsg'
Learn More
Learn More
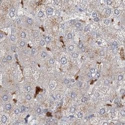
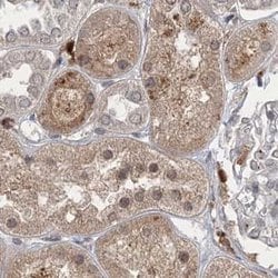
Invitrogen™ NAGK Polyclonal Antibody

Rabbit Polyclonal Antibody
Brand: Invitrogen™ PA557196
This item is not returnable.
View return policy
Description
Immunogen sequence: PDGSESGCGG WGHMMGDEGS AYWIAHQAVK IVFDSIDNLE AAPHDIGYVK QAMFHYFQVP DRLGILTHLY RDFDKCRFAG FCRKIAEGAQ QG Highest antigen sequence identity to the following orthologs: Mouse - 95%, Rat - 95%.
SPG20 is a protein containing a MIT (Microtubule Interacting and Trafficking molecule) domain, and is implicated in regulating endosomal trafficking and mitochondria function. The protein localizes to mitochondria and partially co-localizes with microtubules. Stimulation with epidermal growth factor (EGF) results in protein translocation to the plasma membrane, and the protein functions in the degradation and intracellular trafficking of EGF receptor.
Specifications
| NAGK | |
| Polyclonal | |
| Unconjugated | |
| NAGK | |
| GlcNAc kinase; Gnk; HSA242910; N-acetyl-D-glucosamine kinase; N-acetylglucosamine kinase; Nagk | |
| Rabbit | |
| Antigen affinity chromatography | |
| RUO | |
| 55577 | |
| Store at 4°C short term. For long term storage, store at -20°C, avoiding freeze/thaw cycles. | |
| Liquid |
| Immunohistochemistry (Paraffin), Western Blot, Immunocytochemistry | |
| 0.1 mg/mL | |
| PBS with 40% glycerol and 0.02% sodium azide; pH 7.2 | |
| Q9UJ70 | |
| NAGK | |
| Recombinant protein corresponding to Human NAGK. Recombinant protein control fragment (Product #RP-96064). | |
| 100 μL | |
| Primary | |
| Human | |
| Antibody | |
| IgG |
Product Content Correction
Your input is important to us. Please complete this form to provide feedback related to the content on this product.
Product Title
Spot an opportunity for improvement?Share a Content Correction