Learn More
Invitrogen™ NCALD Polyclonal Antibody

Rabbit Polyclonal Antibody
Brand: Invitrogen™ PA5121165
Description
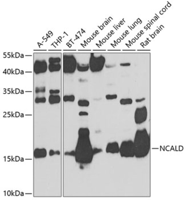
Positive test controls include: A-549, THP-1, BT-474, Mouse brain, Mouse liver, Mouse lung, Mouse spinal cord, Rat brain. Immunogen sequence: MGKQNSKLRP EVMQDLLEST DFTEHEIQEW YKGFLRDCPS GHLSMEEFKK IYGNFFPYGD ASKFAEHVFR TFDANGDGTI DFREFIIALS VTSRGKLEQK LKWAFSMYDL DGNGYISKAE MLEIVQAIYK MVSSVMKMPE DESTPEKRTE KIFRQMDTNR DGKLSLEEFI RGAKSDPSIV RLLQCDPSSA GQF.
This gene encodes a member of the neuronal calcium sensor (NCS) family of calcium-binding proteins. The protein contains an N-terminal myristoylation signal and four EF-hand calcium binding loops. The protein is cytosolic at resting calcium levels; however, elevated intracellular calcium levels induce a conformational change that exposes the myristoyl group, resulting in protein association with membranes and partial co-localization with the perinuclear trans-golgi network. The protein is thought to be a regulator of G protein-coupled receptor signal transduction. Several alternatively spliced variants of this gene have been determined, all of which encode the same protein; additional variants may exist but their biological validity has not been determined.
Specifications
| NCALD | |
| Polyclonal | |
| Unconjugated | |
| NCALD | |
| AI848120; D030020D09Rik; D15Ertd412e; EGK_19177; NCALD; neurocalcin delta; neurocalcin-delta | |
| Rabbit | |
| Affinity Chromatography | |
| RUO | |
| 52589, 553106, 83988 | |
| -20°C, Avoid Freeze/Thaw Cycles | |
| Liquid |
| ELISA, Western Blot | |
| 3.59 mg/mL | |
| PBS with 50% glycerol and 0.02% sodium azide; pH 7.3 | |
| P61601, Q5PQN0, Q91X97 | |
| NCALD | |
| Recombinant fusion protein containing a sequence corresponding to amino acids 1-193 of human NCALD (NP_114430.2). | |
| 100 μL | |
| Primary | |
| Human, Mouse, Rat | |
| Antibody | |
| IgG |
Your input is important to us. Please complete this form to provide feedback related to the content on this product.