missing translation for 'onlineSavingsMsg'
Learn More
Learn More
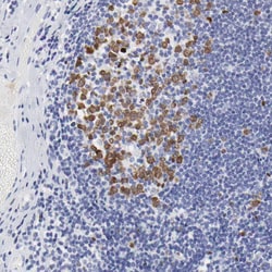
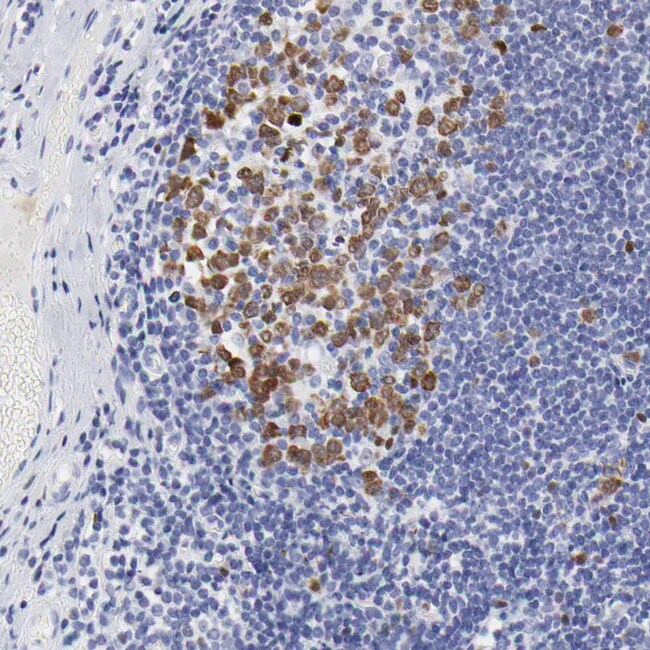
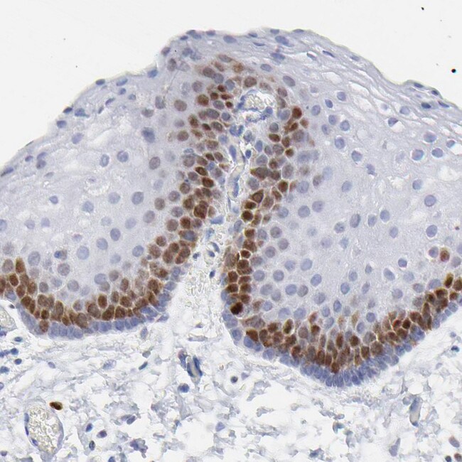
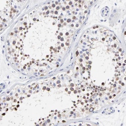
Invitrogen™ NCAPH Polyclonal Antibody

Rabbit Polyclonal Antibody
Brand: Invitrogen™ PA582051
This item is not returnable.
View return policy
Description
Immunogen sequence: KFTNTQITEH YSTCIKLSTE NKITTKNAFG LHLIDFMSEI LKQKDTEPTN FKVAAGTLDA STKIYAVRVD AVHADVYRVL GGLGKDAPSL EEVEGHVADG SATEMGTTKK AVKPKKKHLH RTIEQNINNL NVSEADRKCE I Highest antigen sequence indentity to the following orthologs: Rat - 84%, Mouse - 81%.
This gene encodes a member of the barr gene family and a regulatory subunit of the condensin complex. This complex is required for the conversion of interphase chromatin into condensed chromosomes. The protein encoded by this gene is associated with mitotic chromosomes, except during the early phase of chromosome condensation. During interphase, the protein has a distinct punctate nucleolar localization.
Specifications
| NCAPH | |
| Polyclonal | |
| Unconjugated | |
| NCAPH | |
| A730011O11Rik; barren homolog 1; barren homolog protein 1; Brrn; BRRN1; Caph; CAP-H; Chromosome-associated protein H; condensin complex subunit 2; HCAP-H; KIAA0074; mCAP-H; mKIAA0074; Ncaph; Non-SMC condensin I complex subunit H; non-SMC condensin I complex, subunit H; XCAP-H homolog | |
| Rabbit | |
| Antigen affinity chromatography | |
| RUO | |
| 23397 | |
| Store at 4°C short term. For long term storage, store at -20°C, avoiding freeze/thaw cycles. | |
| Liquid |
| Immunohistochemistry (Paraffin), Western Blot, Immunocytochemistry | |
| 0.1 mg/mL | |
| PBS with 40% glycerol and 0.02% sodium azide; pH 7.2 | |
| Q15003 | |
| NCAPH | |
| Recombinant protein corresponding to Human NCAPH. Recombinant protein control fragment (Product #RP-102186). | |
| 100 μL | |
| Primary | |
| Human | |
| Antibody | |
| IgG |
Product Content Correction
Your input is important to us. Please complete this form to provide feedback related to the content on this product.
Product Title
Spot an opportunity for improvement?Share a Content Correction