missing translation for 'onlineSavingsMsg'
Learn More
Learn More
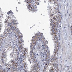
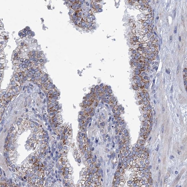
Description
Immunogen sequence: MIARRNPEPL RFLPDEARSL PPPKLTDPRL LYIGFLGYCS GLIDNLIRRR P Highest antigen sequence identity to the following orthologs: Mouse - 71%, Rat - 75%.
Accessory subunit of the mitochondrial membrane respiratory chain NADH dehydrogenase (Complex I), that is believed not to be involved in catalysis. Complex I functions in the transfer of electrons from NADH to the respiratory chain. The immediate electron acceptor for the enzyme is believed to be ubiquinone.
Specifications
Specifications
| Antigen | NDUFC2 |
| Applications | Immunohistochemistry (Paraffin), Western Blot |
| Classification | Polyclonal |
| Concentration | 0.05 mg/mL |
| Conjugate | Unconjugated |
| Formulation | PBS with 40% glycerol and 0.02% sodium azide; pH 7.2 |
| Gene | NDUFS2 |
| Gene Accession No. | O75306, O95298 |
| Gene Alias | 14.5b subunit of the NADH-ubiquinone dehydrogenase complex; 1810004I06Rik; 2010300P09Rik; B14.5b; CI-B14.5b; CI-B145b; complex I subunit B14.5b; complex I-B14.5b; Complex I-B145b; G1; HLC1; HLC-1; Human lung cancer oncogene 1 protein; NADH dehydrogenase (ubiquinone) 1, subcomplex unknown, 2; NADH dehydrogenase (ubiquinone) 1, subcomplex unknown, 2, 14.5kDa; NADH dehydrogenase [ubiquinone] 1 subunit C2; NADH:ubiquinone oxidoreductase subunit C2; NADHDH2; NADH-ubiquinone oxidoreductase subunit B14.5b; Ndufc2; R75094 |
| Gene Symbols | NDUFC2, NDUFS2 |
| Show More |
Product Title
By clicking Submit, you acknowledge that you may be contacted by Fisher Scientific in regards to the feedback you have provided in this form. We will not share your information for any other purposes. All contact information provided shall also be maintained in accordance with our Privacy Policy.
Spot an opportunity for improvement?
