missing translation for 'onlineSavingsMsg'
Learn More
Learn More
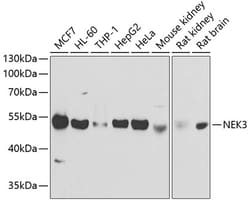
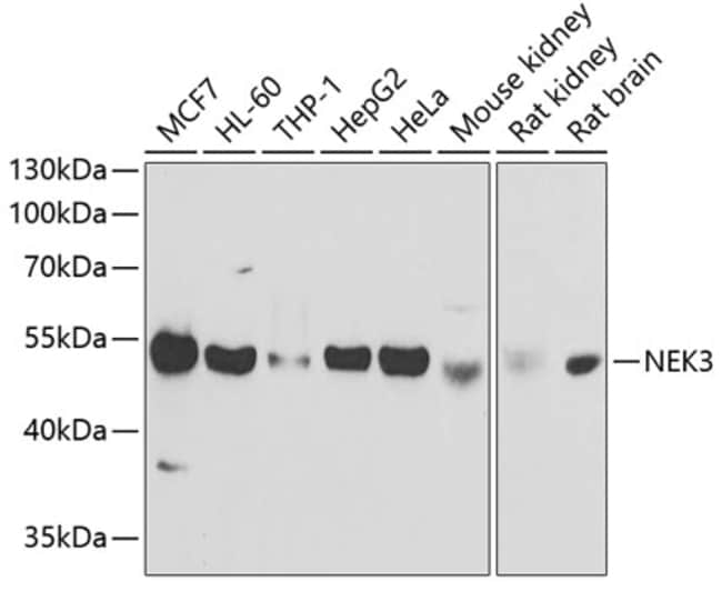
Invitrogen™ NEK3 Polyclonal Antibody

Description
Immunogen sequence: PEIIMEYGEE VLEEIKNSKH NTPRKKTNPS RIRIALGNEA STVQEEEQDR KGSHTDLESI NENLVESALR RVNREEKGNK SVHLRKASSP NLHRRQWEKN VPNTALTALE NASILTSSLT AEDDRGGSVI KYSKNTTRKQ WLKETPDTLL NILKNADLSL AFQTYTIYRP GSEGFLKGPL SEETEASDSV DGGHDSVILD PERLEPGLDE EDTDFEEEDD NPDWVSELKK RAGWQGLCDR.
NIMA was originally shown in Aspergillus nidulans to be necessary for entry into mitosis. NIMA-related mammalian proteins have since been identified as Nek1, Nek2, Nek3 and Nek4 (also designated STK2 or NRK2). High expression of Nek1 is seen in male and female germ cell lines of mouse. Nek2 is the closest known mammalian relative to NIMA. Like NIMA, Nek2 expression peaks at the G2 to M phase transition. Nek3 is a predominantly cytoplasmic enzyme that was detectable in all organs studied. Levels of Nek3 seem to remain unchanged throughout the cell cycle, but appear to be elevated in G0-arrested, quiescent fibroblasts. In developing testicular germ cells, differential patterns of expression were seen for Nek1, Nek2 and Nek4, indicating possible overlapping, but non-identical functions.
Specifications
Specifications
| Antigen | NEK3 |
| Applications | ELISA, Western Blot |
| Classification | Polyclonal |
| Concentration | 1.52 mg/mL |
| Conjugate | Unconjugated |
| Formulation | PBS with 50% glycerol and 0.02% sodium azide; pH 7.3 |
| Gene | Nek3 |
| Gene Accession No. | P51956, Q9R0A5 |
| Gene Alias | glycogen synthase A kinase; HSPK 36; HSPK36; hydroxyalkyl-protein kinase; Nek3; Never in mitosis A-related kinase 3; NIMA (never in mitosis gene a)-related expressed kinase 3; NIMA (never in mitosis gene a)-related kinase 3; NIMA related kinase 3; NIMA-related expressed kinase 3; NIMA-related kinase 3; nimA-related protein kinase 3; phosphorylase B kinase kinase; serine/threonine-protein kinase Nek3 |
| Gene Symbols | Nek3 |
| Show More |
Product Title
By clicking Submit, you acknowledge that you may be contacted by Fisher Scientific in regards to the feedback you have provided in this form. We will not share your information for any other purposes. All contact information provided shall also be maintained in accordance with our Privacy Policy.
Spot an opportunity for improvement?