missing translation for 'onlineSavingsMsg'
Learn More

NME1 Mouse anti-Human, Clone: OTI4G3, lyophilized, TrueMAB™

Product Code. 17616511
Encompass_Preferred
Change view
Click to view available options
Quantity:
100 μg
Unit Size:
100µg
1 product options available for selection
Product selection table with 1 available options. Use arrow keys to navigate and Enter or Space to select.
Product Code. Quantity unitSize
17616511 100 μg 100µg
Use arrow keys to navigate between rows. Press Enter or Space to select a product option. 1 options available.
1 options
This item is not returnable. View return policy
Product Code. 17616511 Supplier Origene Technologies Supplier No. CF801245

Please to purchase this item. Need a web account? Register with us today!

This item is not returnable. View return policy

Mouse Monoclonal Antibody

Reconstitute with PBS (pH 7.3) and recommend to perform another round of desalting process using Product No. 7KMWCO

NME1 was identified because of its reduced mRNA transcript levels in highly metastatic cells. Nucleoside diphosphate kinase (NDK) exists as a hexamer composed of ′A′ (encoded by this gene) and ′B′ (encoded by NME2) isoforms. Mutations in the gene have been identified in aggressive neuroblastomas. Two transcript variants encoding different isoforms have been found for this gene. Co-transcription of this gene and the neighboring downstream gene (NME2) generates naturally-occurring transcripts (NME1-NME2), which encodes a fusion protein comprised of sequence sharing identity with each individual gene product.

Specifications

Antigen NME1
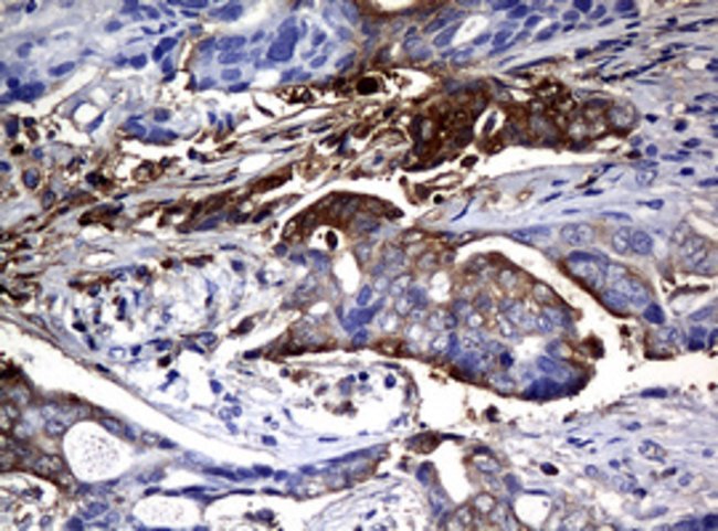
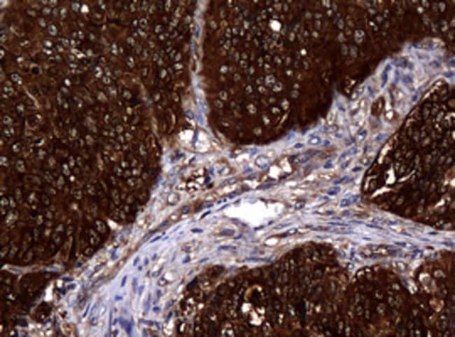
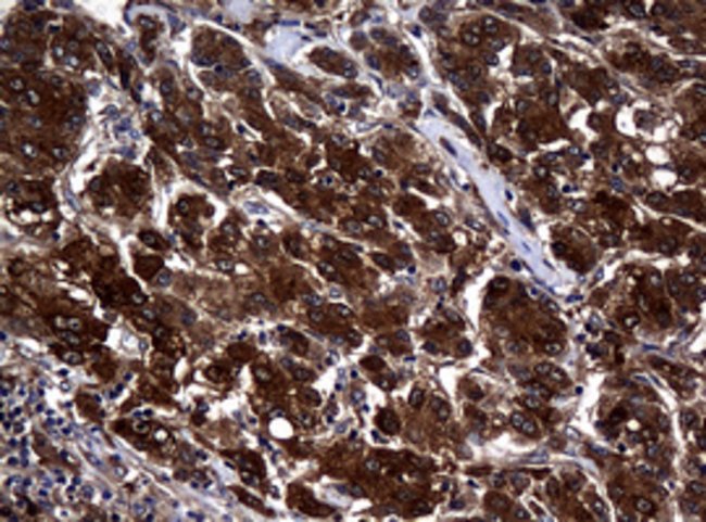
Applications Immunohistochemistry (Paraffin), Western Blot
Classification Monoclonal
Clone OTI4G3
Conjugate Unconjugated
Formulation PBS with 8% trehalose and no preservative; pH 7.3
Gene NME1
Gene Accession No. P15531
Gene Alias AWD, GAAD, NB, NBS, NDKA, NDPK-A, NDPKA, NM23, NM23-H1
Gene Symbols NME1
Host Species Mouse
Immunogen Full length human recombit protein of human NME1 produced in E.coli.
Purification Method Affinity Chromatography
Quantity 100 μg
Regulatory Status RUO
Primary or Secondary Primary
Gene ID (Entrez) 4830
Target Species Human
Content And Storage -20° C, Avoid Freeze/Thaw Cycles
Product Type Antibody
Form Lyophilized
Isotype IgG2a
Show More Show Less
Product Title
Select an issue

By clicking Submit, you acknowledge that you may be contacted by Fisher Scientific in regards to the feedback you have provided in this form. We will not share your information for any other purposes. All contact information provided shall also be maintained in accordance with our Privacy Policy.