missing translation for 'onlineSavingsMsg'
Learn More
Learn More
Description
Immunogen sequence: GRGGFNKGQD QGPPERVVLL GEFLHPCEDD IVCKCTT Highest antigen sequence identity to the following orthologs: Mouse - 95%, Rat - 95%.
Required for ribosome biogenesis and telomere maintenance. NOLA1 is part of the H/ACA small nucleolar ribonucleoprotein (H/ACA snoRNP) complex, which catalyzes pseudouridylation of rRNA. This involves the isomerization of uridine such that the ribose is subsequently attached to C5, instead of the normal N1. Each rRNA can contain up to 100 pseudouridine ('psi') residues, which may serve to stabilize the conformation of rRNAs. NOLA1 may also be required for correct processing or intranuclear trafficking of TERC, the RNA component of the telomerase reverse transcriptase (TERT) holoenzyme.
Specifications
Specifications
| Antigen | NOLA1 |
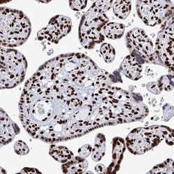
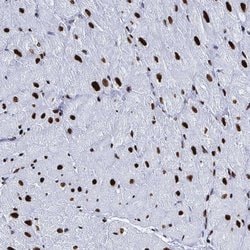
| Applications | Immunohistochemistry (Paraffin), Immunocytochemistry |
| Classification | Polyclonal |
| Concentration | 0.1 mg/mL |
| Conjugate | Unconjugated |
| Formulation | PBS with 40% glycerol and 0.02% sodium azide; pH 7.2 |
| Gene | GAR1 |
| Gene Accession No. | Q9NY12 |
| Gene Alias | AA409823; AI326794; C430047J18Rik; Gar1; GAR1 homolog, ribonucleoprotein; GAR1 ribonucleoprotein; GAR1 ribonucleoprotein homolog; GAR1 ribonucleoprotein homolog (yeast); H/ACA ribonucleoprotein complex subunit 1; H/ACA small nucleolar RNPs; Nola1; Nucleolar protein family A member 1; nucleolar protein family A, member 1 (H/ACA small nucleolar RNPs); snoRNP protein GAR1 |
| Gene Symbols | GAR1 |
| Show More |
Product Title
By clicking Submit, you acknowledge that you may be contacted by Fisher Scientific in regards to the feedback you have provided in this form. We will not share your information for any other purposes. All contact information provided shall also be maintained in accordance with our Privacy Policy.
Spot an opportunity for improvement?
